Не полное развитие верхнего зубного слоя называют гипоплазией эмали. Эмаль покрывает зуб и является прочным слоем, защищающий дентин от повреждений, а так же от воздействия микробов, которые вызывают кариес.
Последнее время количество пациентов с гипоплазией эмали увеличилось. Развитию гипоплазии у ребенка еще до его рождения способствуют вредные факторы, которые воздействуют на организм матери. Будущая мама должна очень внимательно подходить к своему здоровью, так как токсикоз 1-й и 2-й половин беременности является причиной появления гипоплазии у ребенка. Опасаться стоит гриппа, краснухи и заболеваний ОРВИ.
Гипоплазия часто наблюдается у недоношенных детей. Также появлению болезни способствуют: родовые травмы, врожденная аллергия, искусственное вскармливание, нарушении обмена кальция и т.д.
Гипоплазия постоянных зубов развивается в первые годы жизни ребенка и этому способствуют следующие причины:
• Гнойные заболевания.
• Тяжелое протекание инфекционных заболеваний.
• Рахит.
• Проблемы с желудочно-кишечным трактом.
• Болезни почек.
• Заболевание щитовидной железы.
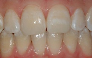
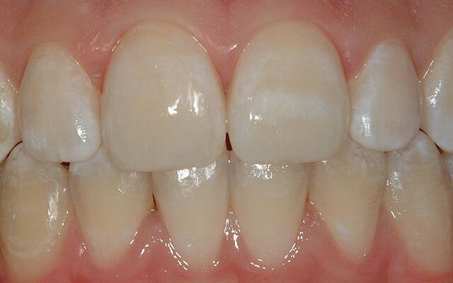
Определить гипоплазию не сложно, на зубах заметны белые пятна или бороздки. Также гипоплазия может быть эрозивной формы при которой на зубах образовываются чашеобразные углубления.
Для устранения или предупреждения гипоплазии используют реминерализирующие препараты, а также комплексы, регулирующие развитие эмали.
