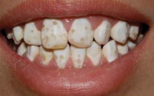
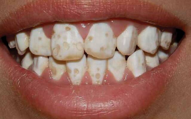
Гипоплазия зубов – это порок развития, суть которого заключается в неправильном развитии зуба и зубных тканей в период их образования. Чаще всего страдает эмаль зуба, реже гипоплазии подвергаются десна. Гипоплазия довольно таки распространенная болезнь. Причиной развития гипоплазии чаще всего является
нарушения обмена веществ организма плода или ребенка. Причинами такого нарушения могут быть: несовмещение групп крови матери и будущего ребенка, инфекционные заболевания во время беременности, неблагоприятные роды, дистрофия, рахит, неправильный обмен кальция. Различают системную гипоплазию, при которой наблюдается изменение цвета эмали зубов, а также, возможно, в неправильном развитии эмали или ее отсутствия, и местная гипоплазия, которая встречается в результате воспаления тканей будущего постоянного зуба. Одним из видов системной гипоплазии – тетрациклиновые зубы – зубы изменяют свой цвет в результате частого применения лекарств, содержащих тетрациклин. Изменение самого только цвета эмали является легкой степенью развития болезни. Белые пятна, иногда желтоватые, не доставляют никаких неприятных ощущений. Недоразвитая эмаль зуба характеризуется возникновением углублений и щербинок, при этом пациент испытывает неудобства, которые имеют эстетический характер. Самой опасной формой гипоплазии является аплазия, она имеет врожденный характер и характеризуется полным отсутствием эмали. Способами лечения гипоплазии является отбеливания, в том случае, если наблюдается легкая степень заболевания, тогда как при тяжелой форме заболевания применяется пломбирование или же протезирования зуба. Также обычно приписывается ряд препаратов для восстановления плотности эмали. Лечить гипоплазию надо, так как тяжелая форма данного заболевания способна вызвать ряд осложнений.
