В этой статье мы расскажем что такое гипоплазия эмали.
Современная стоматология содержит в своем составе огромную кучу методик, позволяющих избавится от кариеса. Однако кариес является не единственным заболеванием эмали зубов.
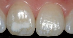
Одним из заболеваний является гипоплазия эмали. Данный недуг диагностируют у сорока процентов посетителей по всему миру.
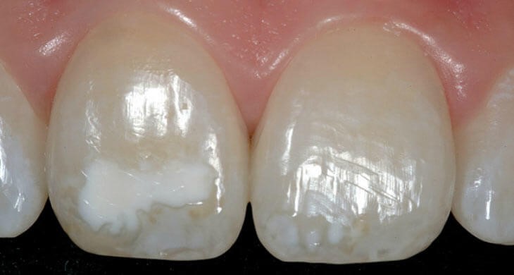
Гипоплазия характеризуется отсутствием части покрытия эмали, не спровоцирован действием кариесогенных бактерий. Начинается все с пятнышек, далее они начинают процесс углубления.
В самых тяжелых случаях с эмали исчезает эмаль полностью. Это происходит из-за игнорирования всей картины.
Самая популярная гипоплазия молочных зубов.
