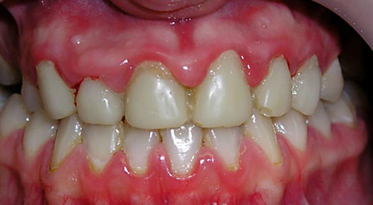
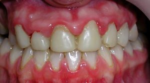
Гингивит частое заболевание десен, при котором они приобретают более красный оттенок, напухают и кровоточат. Не нужно эти симптомы игнорировать и думать, что все само собой пройдет, ведь откладывая лечение, мы только усугубляем ситуацию. Рассмотрим факторы, знание которых поможет сберечь здоровье десен.
Гингивит. Что это такое?
Гингивит – это воспалительное заболевание. Можно сказать, что гингивит – первая стадия воспалительного заболевания десен. Ей подвержен каждый четвертый житель нашей планеты, и у каждого человека имеется эта бактерия в различных формах.
Как самостоятельно определить гингивит?
Гингивит не так то и просто диагностировать самостоятельно. Одними из наиболее явных признаков гингивита будут: покраснения десен, опухлость и кровоточивость. Но для подтверждения подозрений необходимо пройти обследование у врача.
Почему возникает гингивит?
Гингивит в большинстве случаев является следствием неудовлетворительной гигиены ротовой полости. Если не чистить зубы, то на них скапливаются зубные отложения, которые являются подходящей средой для болезнетворных бактерий, вызывающих кариес и воспалительные процессы в деснах.
Как лечить гингивит?
После того, как вы заметили соответствующие симптомы запишитесь на консультацию к стоматологу. Он порекомендует лекарственные средства для лечения и профилактики гингивита. Так же он определит причину возникновения заболевания и проведет чистку зубов от налета и зубного камня.
