Гингивитом называют воспалительное заболевание десен. На возникновение гингивита влияют общие и местные факторы. Особенностью заболевания является то, что целостность соединения зуба и десны не нарушается.
Гингивиты имеют разные формы и возникают по следующим причинам:
• Авитаминоз. Нехватка витаминов А, С, Е, В1
• Нарушения эндокринной системы.
• Болезни крови.
• Проблемы желудочно-кишечного тракта.
• Частые стрессы и депрессии.
• Воздействие некоторых лечебных препаратов.
• Наследственный фактор.
• Беременность или переходной возраст.
Классифицируют гингивиты по:
• Распространению (локальный и генерализированный).
• По степени тяжести (легкий, средний и тяжелый).
• По характеру течения:
Острый. Гингивит, возникающий мгновенно с быстрым развитием.
Хронический. Гингивит медленно протекает, а симптомы нарастают постепенно.
Обостренный гингивит. Здесь наблюдается нарастание симптомов хронического гингивита.
Ремиссия гингивита, т.е. затихание всех симптомов.
• По форме развития:
Язвенно-некротический. Происходит отмерание участков десны.
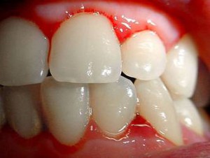
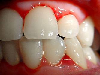
Катаральный гингивит. Ему характерны покраснения и отек.
Атрофический гингивит. При атрофическом гингивите наблюдается уменьшение объема десны.
Гипертрофический гингивит. Здесь объем десневой ткани увеличивается и сопровождается кровоточивостью.
Географический гингивит. Ему характерно покраснение и слущивание эпителия.
