Приучать детей к уходу за зубами нужно с самого детства, и помимо того, что дать детям зубную пасту и щетку, родители должны проконтролировать на сколько правильно их ребенок чистит зубы.
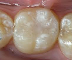
Зубная щетка, конечно же, хорошо, но даже правильно чистя зубы, убрать весь зубной налет с зубов практически невозможно. На жевательной поверхности зубов существуют бороздки – фиссуры. В эти фиссуры попадает пища, которая превращается в питательную среду для микроорганизмов. В процессе своей жизнедеятельности эти микроорганизмы выделяют кислоту, разрушающую эмаль. Так мы получаем кариес. Но что же делать если очистить фиссуры щеткой очень сложно?
Для того, чтобы предупредить развитие кариеса из-за того, что в фиссурах скапливаются бактерии, проводится процедура под названием «герметизация фиссур». Герметизацию фиссур проводят как детям, так и взрослым, но более оправданной эта процедура считается в случае проведения ее детям. Дело в том, что детские зубы более сильно подвержены кариесу, чем зубы взрослого человека, так же кариес на молочных зубах развивается гораздо быстрее.
Герметизация фиссур предполагает собой запечатывание бороздок на зубах специальным составом. Так доступ бактерий к слабозащищенным областям зуба перекрывается и риск развития кариеса снижается.
Герметизация фиссур рекомендована детям, у которых полностью прорезались зубы. Эта процедура оправдывает себя, так как риск возникновения кариеса и ранней потери зубов значительно снижается.
