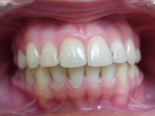
Нормальное развитие челюстей предполагает правильное смыкание зубов, т.е. прикус. Правильным прикусом считается ортогнатический прикус. Здесь верхние зубы немного перекрывают нижние. Такой вид прикуса взят за норму.
Определить как правильно и пропорционально развит зубочелюстная система, врач- ортодонт может при помощи метрического метода, который основывается на изучении черт лица.
Неправильный прикус может сформироваться на любом из пяти периодов развитии челюстей:
1. Ранний период (до полугода от рождения) ребенка.
2. Период формирования временного прикуса. Начинается такой период приблизительно с полугода и длится до трех лет. В это время прорезываются все молочные зубы.
3. Период сформированного прикуса с молочными зубами . На протяжении этого периода происходит рост челюсти и подготовка к появлению коренных зубов. Длится такой период до шести лет.
4. Смешанный прикус. Челюсть начинает активный рост и коренные зубы постепенно прорезывются.
5. Формирование постоянного прикуса. Длится до пятнадцати лет. До этого времени произойдет полная замена молочных зубов постоянными.
Нарушение прорезывания зубов или роста челюсти приводит к развитию аномалии прикуса. Чтобы этого избежать или принять своевременные действия, ребенка следует водить на консультацию к ортодонту. За правильностью развития челюсти нужно начинать следить уже через полгода после прорезывания первого зубика.
