Флюорозом называют заболевание, возникающее по причине избытка фтора в организме. Такой результат случается из-за высокого содержания фтора в воде, а так же из-за окружающей среды ( расположенные рядом с жилыми районами вредных производств).
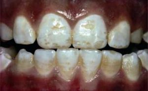
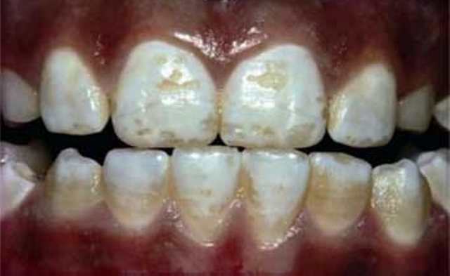
Распознать заболевание можно по образованию на зубах белесых пятен. При развитии флюороза пораженные участки подвержены эрозии и становятся коричневатого оттенка. При этом зубы подвержены кариесу.
Развитие флюороза состоит из следующих стадий:
• На зубах образовываются едва заметные белые полосы.
• Появление вместо штрихов отчетливых белых пятен.
• Из белого цвета пятна превращаются в желтоватые или коричневые и покрывают всю поверхность зуба.
• Наблюдается эрозия эмали. Зубы становятся незащищенными перед внешними факторами из за отсутствия эмали.
• Разрушение зубов. Болезнь распространяется на весь организм, поражая костную ткань.
Начальные стадии флюороза лечат путем реминерализации эмали. При этом выявляют источник избыточного попадания в организм фтора. Нужно постараться оградить себя от поступления избыточного количества фтора. Если зубы поражены сильно, то их покрывают винирами или коронками.
