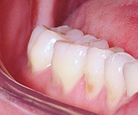
Эррозия эмали зуба – некариозное поражение, при котором наблюдается убыль зубных тканей. Такое заболевание встречается у людей среднего и старшего возрастов и предполагает длительное лечение.
Эрозии подвержены режущие края передних зубов и жевательная поверхность моляров и премоляров.
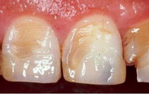
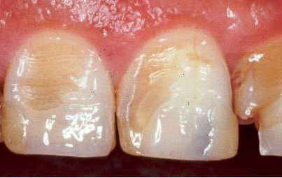
Эрозия имеет вид потускневших пятен, располагающихмя на выступающих частях зубной поверхности. Эрозия имеет свойство углубляться и расширяться, вплоть до поражения дентина. В зависимости от стадии эрозию делят на:
• Стабилизированную. При такой стадии эрозия проходит медленно.
• Активную. Такой стадии характерно быстрое разрушение и повышение чувствительности.
Что касается причин возникновения эрозии, то единого мнения нет. Наиболее распространенными считается:
• Неправильная чистка зубов.
• Частое употребление в пищу кислых продуктов.
• Эндокринные заболевания.
Эрозия на ранних этапах лечится реминерализацией, если болезнь на более поздней стадии, то будет рекомендовано установить виниры, коронки или реставрация с помощью пломбировочного материала.
