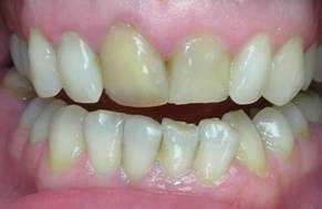
Дисколорит представляет собой явление, при котором происходит изменение цвета зубной эмали.
Эмаль зуба может изменить свой цвет
не только в результате некачественной гигиеной полости рта. Ее естественный оттенок – белый, бело-голубой или желтовато-белый. Сама же зубная эмаль прозрачная, именно поэтому ее цвет будет зависеть от цвета дентина. Цвет же дентина отражает общее состояния организма человека.
Дисколорит бывает двух видов: врожденный и приобретенный. Врожденный дисколорит зачастую является наследственным или закладывается еще в утробе матери, если происходит отклонение развития плода.
Приобретенная форма заболевания может образоваться в любой период жизни, в результате воздействия различных факторов.
На появление дисколорита влияют:
• место проживания: в определенных регионах питьевая вода может быть насыщена солями и минералами, если употреблять подобную воду, то возможно изменение цвета зубной эмали;
• вредные привычки (наркомания и курение);
• проживание или регулярное нахождение вблизи химических заводов;
• механическая травма челюсти или зуба.
Зубная эмаль может изменить свой цвет и стать красной, зеленой, коричневой, розовой или черной
Красная зубная эмаль может образоваться при нарушении пигментации тканей (порфория); травмирования зубов (разрыв пульпарного мешочка, который приводит к значительному кровоизлиянию в эмаль).
Синяя зубная эмаль появляется в результате некроза пульпы, который образовался при попадании инфекции или травме; удаления пульпы, гипертиреозе; приеме тетрациклина во время беременности; питьевая вода, которая насыщена железом;
Появление зеленой эмали свидетельствует о наличие в полости рта грибка. Также может проявится при контакте зубов с металлическими элементами, например, с пломбой, в состав которой входят никель или медь.
