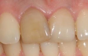
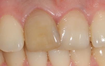
Потемнение зуба может свидетельствовать о стоматологическом заболевании. С эстетической точки зрения потемневший зуб испортит красоту улыбки. В любом случае с данной проблемой нужно обратиться к специалисту.
Причины потемнения зубов:
1. При кариесе, разрушая эмаль зуба, микроорганизмы провоцируют появлению темных пятен.
2. Более темными всегда будут депульпированные зубы.
3. При травме может пострадать нервно-сосудистый пучок, что приведет к потемнению.
4. Если при лечении каналов использовался пломбировочный материал с содержанием соединений серебра или меди.
5. Врожденные поражения.
Чтобы избавится от нежелательного цвета зубов, сначала необходимо найти причину. Чаще всего врачи рекомендуют провести профессиональное отбеливание, но перед этим устраняют причину потемнения(кровяные сгустки или пломбы). Если патология врожденная, то будут применены коронки или виниры.
Основной профилактической мерой потемнения зубов остается ежедневные гигиенические мероприятия. Дважды в год следует наведываться к стоматологу на консультации, что позволит вовремя выявить проблемы и решить их.
