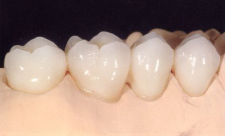
В зубном протезировании безметалловая керамика применяется с помощью керамических накладок и вкладок (инлэй, онлэй), виниров (накладки керамические на наружную часть зуба), зубных протезов и зубных коронок.
В современное время, в стоматологии, протезирование с применением безметалловой керамики чаще используется во время изготовлении несъемных протезов, впрочем, в определенных случаях безметалловая керамика используется в производстве съемных протезов (скажем, в случаях фиксирования съемных протезов с поддержкой микроимплантов).
Безметалловая керамика либо металлокерамика, что предпочесть?
В металлокерамических коронках, основой применяется металлический колпачок с дальнейшим покрытием керамическим материалом, в качестве каркасов, в безметалловой керамике применяется оксид алюминия либо циркониевая основа коронки, на тот, что наносится сама керамическая масса.
Отличием и превосходством безметалловой керамики перед металлокерамикой является ее биоинертность, т.е. уникальная безвредность для организма и неимение аллергических реакций.
