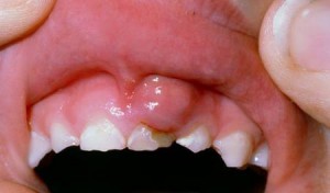
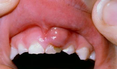
Абсцесс ротовой полости – это ничто иное, как локальное гнойное воспаление тканей. Абсцессы наиболее распространенное явление в хирургической стоматологии. Зачастую к образованию абсцессов
ротовой полости ведет осложнение зубочелюстной патологии, однако повлиять на появление абсцесса может инфекционное заболевание или повреждение слизистой оболочки.
Причины образование абсцессов в ротовой полости.
Самая распространенная причина – это осложнения стоматологических заболеваний таких как пародонтит или пароднтоз. Эти заболевания предполагают образование пародонтальных карманов в следствии разрушения тканей. В таких карманах развиваются микроорганизмы, провоцирующие воспалительную реакцию.
Не редко абсцессы становятся следствием занесения инфекции в ранку при повреждении слизистой оболочки.
Абсцессы ротовой полости классифицируются следующим образом:
• Абсцессы десны.
• Абсцессы дна ротовой полости.
• Небный абсцесс.
• Абсцессы щек.
• Абсцесс языка.
Симптомы появления абсцесса напоминают симптомы периодонтита. Боль локализируется возле конкретного зуба. Пациент чувствует усиление боли при надкусывании. В районе абсцесса образовывается плотная припухлость, вызывающая боль при касании.
Абсцесс языка развивается быстро. Язык напухает, становится трудно глотать, пациент может чувствовать удушье.
Диагностируют абсцесс согласно жалобам пациента и визуально при осмотре. Лечение абсцессов ротовой полости заключается в проведении хирургической операции по вскрытию и дренированию абсцесса. Так же проводится антисептическая обработка.
