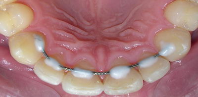
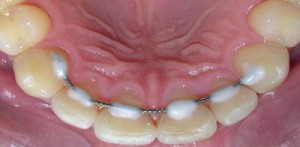
Когда применяются бюгельные протезы?
Установка бюгельных протезов в Сумах позволяет избежать обточки соседних зубов, вживления дорогих имплантатов. Крепления в таких протезах будут совсем незаметны при улыбке.
Установка бюгельных протезов в Сумах позволяет избежать обточки соседних зубов, вживления дорогих имплантатов. Крепления в таких протезах будут совсем незаметны при улыбке.
Местное воспаление мягкой ткани зуба, в которой содержатся нерв и сосуды (пульпы) называют острым очаговым пульпитом.
Характерными чертами острого очагового пульпита есть : разрушение эмали и дентина, воспаление пульпы, микроабсцесс.
Изготовление бюгельных протезов требует от техника особых навыков и умений, ведь бюгельные протезы подгоняются под челюсть пациента очень плотно. Именно этот факт и позволяет будущему владельцу не ощущать протез при ношении.
Еще совсем недавно вставная челюсть была единственным способом обзавестись утерянными зубами. На сегодняшний день у современных стоматологов достаточно альтернатив, и одна из них – протезирование на имплантатах.
Современный человек уже знает, что такое имплантация и как много времени она может занимать. Однако, есть метод имплантации, который по времени длится гораздо быстрее классического – это экспресс имплантация.
Не так давно мы и не могли представить , что лечение кариеса может быть проведено не только с применением бормашинки. Сейчас в арсенале стоматологов различные методы лечения в том числе и щадящие, в которых не применяется бормашинка.
Пациент после визита к стоматологу ощущает боль или высокую чувствительность вылеченных зубов. Такие ощущения со временем проходят, но бывают случаи когда боль усиливается.
Самым опасным заболеванием ротовой полости является язвенно-некротический стоматит. В отличии от язвенного гингивита, где поражаются десны, язвенно-некротический стоматит распространяется на всю ротовую оболочку. Возникает такой вид стоматита в последствии не вылеченного катарального стоматита.
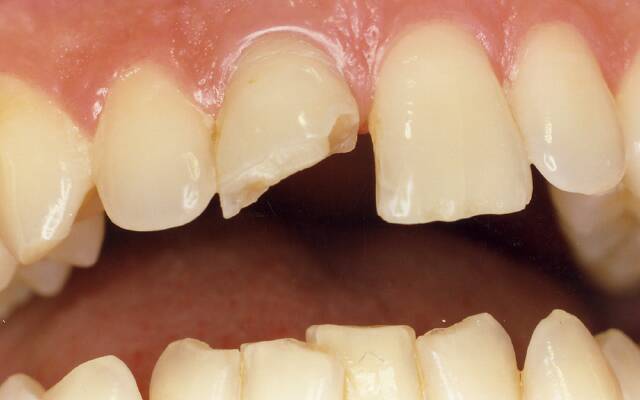
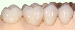
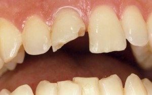
Металлокерамические протезы доступнее других и поэтому очень распространены. Не смотря на прочность конструкции, бывают случаи скола керамического покрытия. Каковы причины образования сколов ?
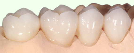
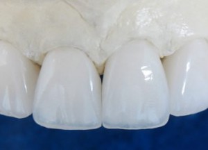
Несъемное протезирование в г. Сумы представляет собой установку различных конструкций для восстановления дефекта зубного ряда.