Архивы за месяц "Июнь 2019"

Когда лучше лечить зубы при беременности

К сожалению, некоторые женщины в период беременности полагают, что стоматологическое лечение опасно для будущего ребенка. Это мнение ошибочно. Конечно, организм в это время ослаблен и не все медицинские процедуры можно проводить, но некоторые заболевания при их возникновении нужно лечить.

Read More →

Удаление зуба мудрости

Зубы мудрости или как их называют стоматологи «восьмерки», появляются самыми последними и у некоторых людей они могут быть скрыты всю жизнь. Прорезывание этих моляров часто сопровождается всевозможными проблемами и как правило при возникновении таковых принимается решение по их удалению.

Read More →

Абсцесс зуба

Абсцесс зуба – это процесс нагноения на десне в области корня. Сопровождается этот недуг болью пульсирующего и ноющего характера. Если на заболевание не обращать внимание , то абсцесс распространится на другие участки вплоть до поражения кости челюсти.

Read More →

Зубная боль. Причины и виды.

Зубная боль как всегда появляется неожиданно и в неподходящий момент – это то явление, которое терпеть сложно и более не о чем не думаешь кроме того как бы эту боль унять. Сама по себе зубная боль является сигналом, что здоровье зубов под угрозой и игнорировать ее не стоит.

Read More →

Шатаются зубы

Расшатывание зубов у ребенка в период смены молочных зубов на постоянные – это нормальный, естественный процесс. Но вот когда шататься начинают коренные зубы – это говорит о возникновении проблемы. Как правило такое явление говорит о воспалительных процессах в деснах.

Read More →

Почему крошатся зубы?

От того, что зубы начнут крошится не застрахован никто. Это может случиться как у пожилых людей, так и у молодежи. Подобное явление ведет не только к эстетическому дефекту, но и возникает проблема с приемом пищи.

Read More →

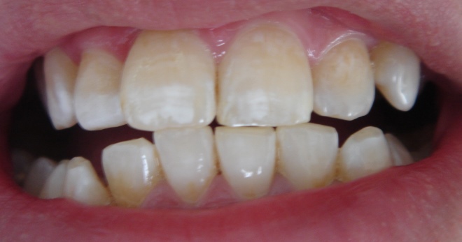
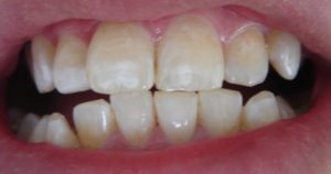
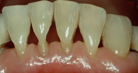
Лечение оголения зубных шеек

Оголение шейки зуба наиболее часто встречается у людей пожилого возраста, но и не редки случаи когда с этой проблемой обращаются и молодые. Шейка зуба оголяется за счет того, что опускается десна. Причины этому могут быть разные.

Read More →

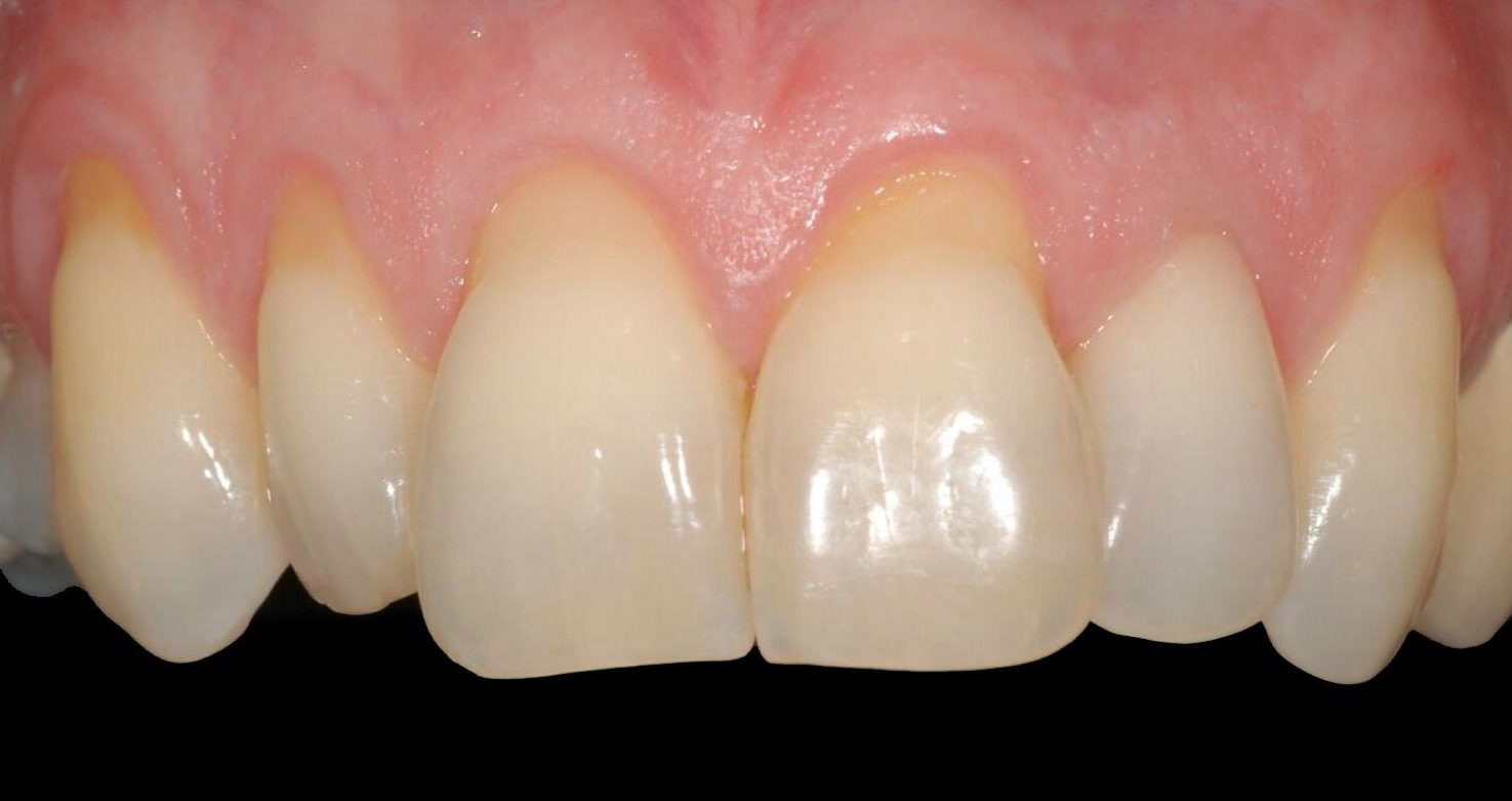
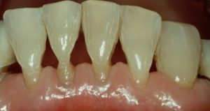
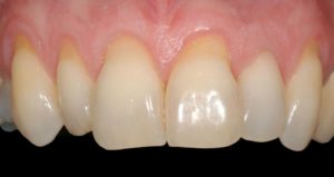
Обнаженные шейки зубов

Рецессия десны, которая часто наблюдается у пациентов старшего возраста приводит к тому, что шейки зубов оголяются. Кроме того, что это выглядит не эстетично, человеку это явление доставляет и другие проблемы: повышенная чувствительность, подверженность кариесу.

Read More →