Архивы за месяц "Май 2019"

Как избавиться от щели между зубами?

Щель между зубами или диастема встречается достаточно часто (у каждого пятого). Это не очень эстетично смотрится, но если щель между зубами не большая, то внимания на это мало кто обращает внимание, а некоторые считают это индивидуальной изюминкой.

Read More →

Витамины для детских зубов

Каждый знает, что здоровье зубов можно сохранить если ежедневно выполнять необходимые гигиенические процедуры. Это касается как взрослых, так и детей. Особенно детей. Ведь их зубы недостаточно крепки и развитие кариеса у детей происходит гораздо быстрее чем у взрослых.

Read More →

Продукты, влияющие на цвет зубов.

Красота улыбки зависит от здоровья зубов и от их цвета. Темные и пожелтевшие зубы больше отталкивают, чем привлекают внимание. По этой причине люди используют различные средства для отбеливания зубов, будь то зубные пасты или процедуры профессионального отбеливания.

Read More →

Из чего делают виниры?

Виниры – тонкие пластины, которые устанавливают на переднюю часть зуба. Таким образом скрываются все недостатки или повреждения зубов «зоны улыбки». Это отличный способ приобрести улыбку своей мечты за короткий промежуток времени.

Read More →

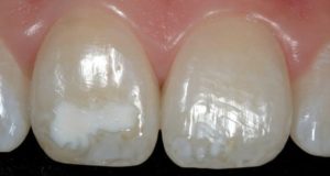
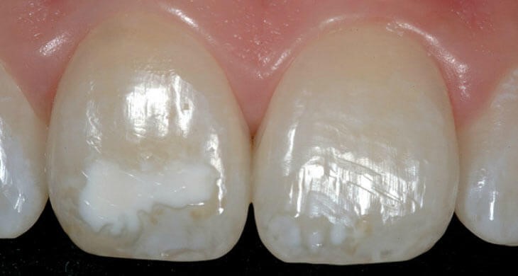
Гипоплазия эмали: основные симптомы

К сожалению, не всегда зубы развиваются правильно. Иногда их появление сопровождается появлением различных патологий. Одной из таких патологий является гипоплазия эмали. В этом случае наблюдается неполное развитие зубных тканей или всего зуба.

Read More →

Люминиры и виниры

Люминиры и виниры – это тонкие пластины, устанавливаемые на зубы зоны улыбки. Для чего это нужно делать? Такие микропротезы решают два вида проблем: эстетические и функциональные.

Read More →

Стоматит. Чем лечить?

При стоматите на слизистой оболочке рта наблюдается образование язвочек, покраснение десен, появление боли. Заболевание не у всех людей вызывает беспокойство и часто его пускают на самотек.

Read More →

Виниры. Показания и противопоказания к установке.

Виниры – один из видов микропротезов, при помощи которых за короткий срок можно сформировать красивую улыбку. Представляют они собой пластины из материала, который схож с зубной эмалью. Такие пластины устанавливают на переднюю часть зуба, предварительно немного обработав ее бормашинкой.

Read More →

Почему опасен стоматит?

Стоматит – это довольно часто встречающееся заболевание. Оно представляет собой воспаление слизистой оболочки рта, появление язвочек. Все это сопровождается болевыми ощущениями а в некоторых случаях и повышением температуры.

Read More →