Архивы за месяц "Май 2019"

О зубной имплантации в двух словах

Рано или поздно мы все терем зубы. Причины тому самые разнообразные. Это и несчастные случаи при активном отдыхе, различные стоматологические проблемы, возраст и т.д. Отсутствие зубов является не только эстетическим дефектом.

Read More →

Почему опухла десна?

Воспаление десны встречается очень и очень часто. Происходит воспаление по вине различных болезней полости рта. Наиболее распространенное воспалительное заболевание десен – гингивит. Он встречается у пациентов всех возрастов, особенно у беременных и подростков во время гормональных изменений.

Read More →

Несколько советов родителям перед походом к детскому стоматологу

Каждый родитель рано столкнется с проблемой похода к детскому стоматологу. Подавляющее большинство малышей переносят этот визит не спокойно. Как облегчить прием у детского стоматолога?

Read More →

Обеспечиваем зубам крепость

Крепкие зубы очень важны , ведь на них лежит важная миссия пережевывания пищи. За здоровьем зубов нужно следить каждый день. Кроме того быть крепкими зубам должны помогать мы. Крепкими зубы делают витамины и минералы.

Read More →

Профилактика зубных заболеваний

Teeth floss

Основной причиной стоматологических заболеваний является развитие патогенной микрофлоры. Так же это могут быть наследственный фактор, экологическая ситуация или условия труда, однако это не значит, что проведение профилактических мер в этих случаях не имеет никакого смысла.

Read More →

Болезни зубов

Причина стоматологических заболеваний – это процесс жизнедеятельности бактерий, в ходе которого происходит разрушение тканей зуба. Кроме того можно назвать и ряд других факторов, влияющих на здоровье зубов. К таким относят:

Read More →

Зубные вкладки. Их виды и показания к установке

Зубные вкладки применяются в том случае, когда зубной корень в хорошем состоянии, а коронковая часть сильно повреждена и установка пломбы не даст необходимого результата. Зубная вкладка, в отличии от пломбы не может быть установлена на первом же посещении врача. Для того чтобы установить вкладку понадобится несколько этапов. На первом этапе полость зуба подготавливается и снимается слепок.

Read More →

Лечение неправильного прикуса у детей Сумы

В случае недостаточного контроля за здоровьем зубов и прикусом у ребенка, то может наступить смещение зубов и челюсти или повреждение зачатков постоянных зубов. Поэтому так важно посещать детского стоматолога, ведь проблему легче предотвратить чем исправить.

Read More →

Что не следует есть если у вас брекеты

Брекеты сегодня – это наиболее популярный и действенный способ исправить прикус. В наши дни ношение брекетов не вызывает насмешек и не причиняет никакого дискомфорта своему обладателю. Напротив – многие люди воспринимают это как своего рода украшение, индивидуальной особенностью. Поэтому не так редко можно встретить человека с брекетами уже в сознательном возрасте.

Read More →

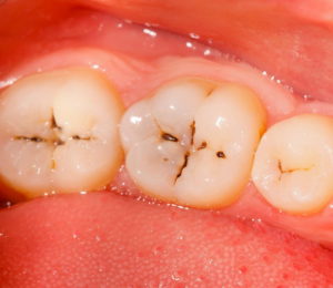
Определяем кариес

Кариес –именно та причина, которая приводит к потере зубов, установке пломб или коронок. От кариеса не застрахован никто. Даже соблюдая правила гигиены, кариес может начать свое развитие в труднодоступных местах и привести к разрушению зуба. Очень важно уметь самостоятельно определить кариес, чтобы начать с ним бороться на стадии его развития.

Read More →