Способы отбелить зубы
Отбеливание зубов- процедура направленная на улучшение внешнего вида улыбки. Поэтому это одна из самых востребованных процедур в кабинете стоматолога. Ведь современные стандарты красоты включают в себя и красивую улыбку.
Отбеливание зубов- процедура направленная на улучшение внешнего вида улыбки. Поэтому это одна из самых востребованных процедур в кабинете стоматолога. Ведь современные стандарты красоты включают в себя и красивую улыбку.
Недавно в сети началась дискуссия по поводу того стоит ли мочить зубную щетку перед тем как нанести на нее пасту или этого можно не делать. Одни пользователи настаивают
Отвердевший зубной налет превращается в зубной камень. Такое образование является средой обитания и развития болезнетворных организмов. И кроме того, что зубной камень внешне портит вид зубов он несет опасность в том, что зуб может быть поражен кариесом или возникнет воспаление десен.
Каждого родителя и ребенка ждет болезненный процесс, через который проходят все – это прорезывание зубов. Ребенок в этот период становится беспокойным, теряет аппетит, плохо ест. Это доставляет неудобства и родителям. Поэтому они должны знать как облегчить болезненность прорезывания зубов.
Не секрет, что зубная боль возникает при нарушении здоровья зубов и десен. К появлению зубной боли чаще всего приводит кариес, который затем перерастает в пульпит. Любые проблемы с зубами
Совсем недавно золотые коронки можно было увидеть на зубах многих людей с золотыми коронками. Раньше это было модно и считалось показателем благосостояния человека. Но времена меняются и золотые коронки постепенно стали исчезать.
Травма зуба- очень неприятное и болезненное явление. Зачастую травмы зубов получают дети. Ведь они очень активно бегают и прыгают на детских площадках и ищут куда бы закарапкаться. Но так же травмы зубов могут получить и взрослые, занимающиеся спортом, активным образом жизни и пострадавшие в результате несчастных случаев.
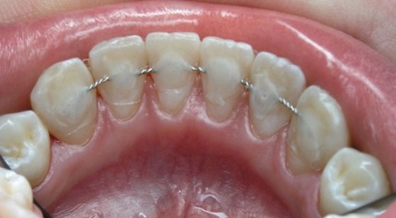
В наше время красивая улыбка является визитной карточкой человека. От нее даже зависит первое мнение у собеседников. Она помогает расположить к себе и войти в доверие. Однако, далеко не у каждого с рождения красивые и ровные зубы.
Красивая улыбка помогает нам в общении с людьми. Она дает возможность войти в доверие и оказать хорошее первое впечатление. Мы не перестаем восхищаться красивыми улыбками телеведущих и актеров кино, и конечно же хотим, чтобы и наша улыбка была настолько же красива. Но, к сожалению далеко не у каждого получается сохранить красоту своей улыбки. Почему так происходит?
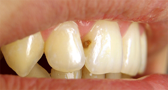
Не для кого не секрет, что наиболее распространенной причиной разрушения наших зубов является кариес. Кариес на начальной стадии развития не заметен и его может распознать лишь стоматолог на плановом осмотре. Но далеко не все люди посещают такие осмотры. Как же распознать кариес вовремя, чтобы принять все необходимые меры для его устранения?