Архивы за месяц "Сентябрь 2016"

Чтобы улыбка была ослепительной

Чтобы улыбка была ослепительной

Здоровые зубы – это не только залог красивой улыбки. От того в каком состоянии находятся зубы зависит и качество пережевывания пищи, а значит и нормальное состояние системы желудочно-кишечного тракта. Кроме этого, пораженные

Read More →

Эрозия зубной эмали.

Эрозия зубной эмали

Эрозия эмали зубов – это одно из самых распространенных заболеваний полости рта. Кроме дискомфорта пациент получает большую вероятность повреждения зубов. Заболевание представляет собой ослабление зубных тканей (эмали и дентина) с последующей деформацией.

Read More →

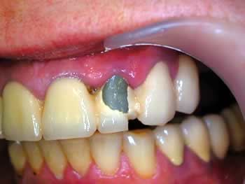
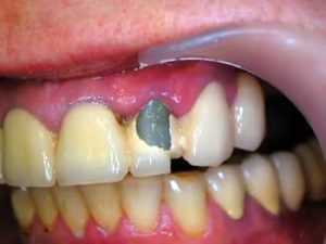
Зубные вкладки

Зубные вкладки

Кариес если его не лечить обязательно приведет к тому, что в зубе появится полость. Она может быть разных размеров и при небольшом размере этот дефект убирают при помощи пломбировки. Но не всегда пломбировка будет эффективной. При обширном разрушении зуба возникает необходимость в установке зубной вкладки.

Read More →

Сколы металлокерамики

Сколы металлокерамики

Металлокерамическая коронка – тот вид протеза, который в нашей стране чаще всего ставится. Обусловлено это приемлемой стоимостью и прочностью конструкции. Сама конструкция состоит из каркаса, выполненного из металла, и покрывающего его керамического слоя, что делает протез более схожим с настоящим зубом.

Read More →

Как сохранить здоровье зубов и десен?

стоматология сумы

Здоровье зубов и десен очень важно. Ведь от того в каком состоянии он находятся, зависит не только красота улыбки, но и способность пережевывать пищу. Итак, что нужно делать, чтобы зубы и десны были здоровы?
Для этого необходимо следовать простым правилам:

Read More →

Причины, по которым появляются проблемы с зубами

зубы

Иметь красивые и здоровые зубы – это не только эстетически привлекательно. Здоровые зубы – это, прежде всего комфорт и качество пережевывания пищи. Однако не все могут похвалиться хорошими зубами. Не смотря на качество ухода за ротовой полостью, проблемы с зубами все же случаются. Каковы же причины этого явления?

Read More →