Архивы за месяц "Март 2016"

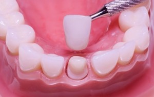
Виниры на зубы в Сумах

Виниры на зубы в Сумах

Эстетические проблемы с зубами мешают многим людям чувствовать себя уверенно. У кого-то зубы изменили свой цвет, у кого-то они деформированы, имеют сколы и трещины. Все это не проблема для современной эстетической стоматологии.

Read More →

Неправильный прикус не только влияет на внешний вид

Неправильный прикус не только влияет на внешний вид

Неправильным прикусом страдает большинство людей во всех странах. Раньше неправильный прикус считался лишь эстетическим дефектом, и его исправление казалось необязательным. Но сегодня специалисты характеризуют неправильный прикус не только не привлекательной улыбкой.

Read More →

Когда нужно задуматься об удалении зуба мудрости

зуб мудрости

Зуб мудрости – это последний в ряду зуб, который и прорезается самым последним. Его появление часто сопровождается болевыми ощущениями. Если Вы почувствовали, что зуб мудрости начал прорезываться, лучше записаться на консультацию стоматолога.

Read More →

Требования к зубным коронкам

зубные коронки Сумы

Зубная коронка – наиболее частоустанавливаемый зубной протез. Причиной, по которой будет принято решение о установке зубной коронки может быть обширное кариозное поражение, перелом, нежелательный цвет и т.д.

Read More →

Некоторые продукты наносят зубам вред

вред зубам

Каждый знает, что залогом здоровья зубов является постоянный и правильный уход за ними. Чистка зубов утром и вечером обязательный ежедневный ритуал. Но некоторые люди, добросовестно ухаживающие за своими зубами, все равно обращаются к стоматологу за лечением. Так в чем же тогда проблема?

Read More →

Диоксид циркония (Сумы)

циркониевые коронки Сумы

Сегодня при протезировании зубов уделяется большое внимание красоте протеза. Пациента стали более требовательными и поэтому зубные коронки, изготовленные по современным технологиям, визуально сложно отличить от настоящих зубов. Одними из таких коронок являются коронки на основе диоксида циркония.

Read More →

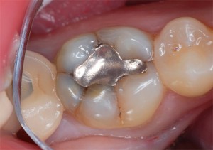
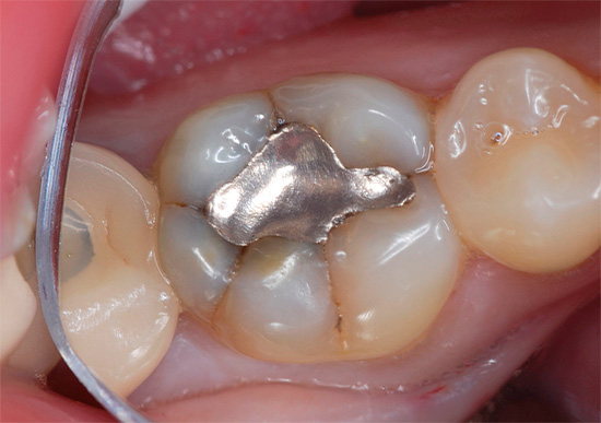
Вред от зубных пломб

пломбы

Сегодня вряд ли можно найти человека хотя бы без единой пломбы во рту. Установка пломбы является неотъемлемой частью лечения кариеса. Кроме того, что благодаря установке пломбы человек

Read More →

Интересная рекомендация по чистке зубов

Интересная рекомендация по чистке зубов

Ежедневно мы чистим зубы. Эту процедуру проводят утром и перед сном. Так вот чистить зубы перед сном исследователи Оксфордского университета предлагают проводить необычно, а именно – с выключенным светом. Почему так?

Read More →