Возможные осложнения при имплантации
Сегодня имплантация является весьма популярной операцией по восстановлению утраченных зубов. Это достаточно сложная операция, требующая высокой квалификации врача.
Сегодня имплантация является весьма популярной операцией по восстановлению утраченных зубов. Это достаточно сложная операция, требующая высокой квалификации врача.
Зубную имплантацию можно назвать самым эффективным способом восстановить полностью отсутствующий зуб. Сама имплантация состоит из нескольких этапов:
Одним из условий проведения успешной имплантации зубов является достаточное количество костной ткани. Если же костной ткани недостаточно, то будет принято решение о ее наращивании.
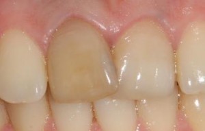
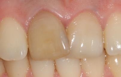
Всем хочется иметь красивые белые зубы. Но под воздействием различных факторов зубная эмаль приобретает нежелательный темный оттенок. Разберемся почему это происходит.
Детский кариес очень распространен последнее время. Зачастую родители не обращают внимания на маленькие дырочки в зубах своих детей. Но детский кариес развивается быстрее, чем на зубах взрослого человека, и это ведет к потере преждевременной потере молочных зубов.
Зубная коронка – это тот тип протеза, который рано или поздно устанавливают практически всем пациентам. У одних к установке коронки приводит травма зуба, у других – разрушение зуба в результате стоматологических заболеваний.
Самый прогрессивный метод восстановления зубов на сегодня – это имплантация. Статистика показывает, что установка зубных имплантатов превышает эффективность остальных популярных ортопедических процедур в несколько раз.
Утраченный зуб, будь то из-за травмы или из-за стоматологического заболевания. Следует восстановить. Ведь кроме эстетического дефекта возникает и функциональный дефект. Поэтому зубы нужно как можно быстрее восстановить Для этого лучше всего подойдет зубная имплантация.
Приятно смотреть на улыбку, сияющую здоровьем. Обязательной составляющей такой улыбки являются белые зубы, но не каждый может похвастаться таким цветом своих зубов. Многие пациенты жалуются на желтизну зубов и стремятся сделать из белее. Сразу следует заметить, что
Рано или поздно мы сталкиваемся утратой зубов. Это может случиться из-за стоматологической болезни или травмы. Имплантация – хороший способ восстановить утраченные зубы незаметно для окружающих.