Можно ли обойтись без обточки зубов?
Первым этапом ортопедического лечения зубов часто становится препарирование. Препарирование зубов – это снятие определенного слоя твердых тканей для установки протеза.
Первым этапом ортопедического лечения зубов часто становится препарирование. Препарирование зубов – это снятие определенного слоя твердых тканей для установки протеза.
В случаях воспаления или кровоточивости десен любой стоматолог посоветует средства, на его взгляд наиболее подходящие в данном случае.
Хорошей профилактикой заболеваний десен остается ежедневная гигиена ротовой полости. Кроме того, что дважды в день мы чистим зубы, мы должны в течении дня очищать ротовую полость от остатков пищи. Для этого следует прибегнуть к полосканиям.
При частичном или полном отсутствии зубов врач может порекомендовать установку бюгельного протеза. За счет особенности конструкции бюгельный протез на сегодняшний день считается одним из лучших решений.
Препарирование зубов или обточка – является одним из этапов ортопедического лечения. Он представляет собой снятие определенного слоя твердой ткани с зуба, для того, чтобы одеть на него протез. Еще недавно эта процедура была
Шинирование – оптимальная методика закрепления шатающихся зубов при пародонтозе. Шинирование обеспечивает надежную фиксацию зубов и предотвращает их дальнейшее расшатывание и выпадение.
Зубные шины бывают трех видов:
Зубная коронка представляет собой некий колпачок, которым покрывают разрушенный зуб. Основная цель установки коронки – это восстановление функции зуба. Существуют такие разновидности зубных коронок: металлические и безметалловые.
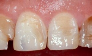
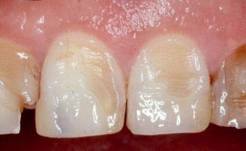
Клиновидный дефект получил свое название из-за V-образного поражения пришеечной области зуба с наружной стороны.. Чаще всего такое заболевание встречается у пожилых людей, но это не значит, что более молодые клиновидному дефекту не подвержены.
Эрозия зубной эмали является сильным разрушительным процессом. Начинается она незаметно и заподозрить ее развитие очень сложно. Начальной стадии заболевания характерно повышение чувствительности зубов. Далее пациент начинает жаловаться на боли во время употребления кислого или при чистке зубов.
Под ретенцией зуба понимается задержка прорезывания при полном формировании. Зачастую это происходит в случае зубов мудрости. Зуб при прорезывании может столкнуться со смещенным ранее прорезавшемся зубом, в результате чего он останавливается.