Кровоточивость десен. Этапы лечения
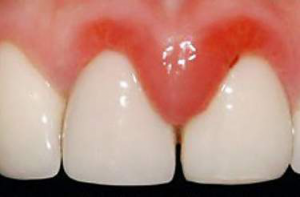
Появление на зубной щетке крови должно обеспокоить. Кровоточивость десен указывают на проблемы с их здоровьем. Такое явление не должно оставаться без внимания.
Появление на зубной щетке крови должно обеспокоить. Кровоточивость десен указывают на проблемы с их здоровьем. Такое явление не должно оставаться без внимания.
Кровоточивость десен является самым первым симптомом заболевания десен. Игнорировать такое явление не нужно. Обратиться к врачу стоит и в таких случаях:
Появление гноя в десне свидетельствует о наличии пародонтального абсцесса. Десна при этом кровоточит. Пациент чувствует в этом месте зубную боль. Причиной этого явления чаще всего становится кариес в запущенной стадии или пародонтоз.
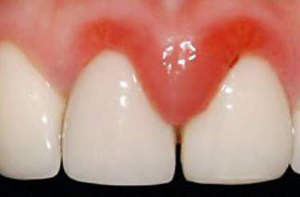
Гнгивит представляет собой воспалительное заболевание слизистой десен. Это не редкость как у детей, так и у взрослых. На первых этапах гингивит практически не заметен и человек не спешит обращаться к стоматологу.
Многие люди при выполнении ежедневных гигиенических мероприятий большее время уделяют чистке зубов и недостаточно внимания уделяют деснам.
Гиперстезия эмали – это ничто иное как повышение чувствительности зубов к химическим, температурным или механическим раздражителям. Это явление достаточно распространено и наблюдается практически у каждого второго.
Воспаление десны довольно частое явление. Протекает воспаление зачастую практически безсимптомно и поэтому человек может даже об этом и не подозревать.
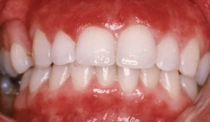
К основным заболеваниям десен можно отнести: гингивит, пародонтоз и пародонтит. Они отличаются как причинами возникновения, так и основными симптомами. Лечатся данные заболевания так же по разном. Давайте поподробнее остановимся на каждом из них.
Самый первый и самый ранний симптом заболевания десен – это кровоточивость. На такое явление как кровь на зубной щетке, мало кто обращает внимание.
Культевая вкладка или штифт – что же выбрать для восстановления зуба? Считается, что обоснованным выбором будет установка штифтом, однако это не совсем так.