Деякі клінічні випадки в стоматологічній практиці часто ставлять стоматолога перед вибором методу лікування, який краще використовувати в конкретній ситуації. У даній статті піде мова про фотополімерні композитні матеріали фірми “3М”, які в деяких випадках можна використовувати як альтернативу естетичному протезуванню зубів.
Read More →

Імплантація зубів – це цілий ряд процедур, спрямованих на один результат – установку якісного і красивого імпланта. Як і будь-яка процедура, імплантація зубів проводиться в кілька етапів.
Read More →
Метою даного дослідження було вивчення поведінки імпланта, встановленого безпосередньо після видалення зуба. У ході дослідження протягом двох років велося спостереження за пацієнтами, яким були встановлені поодинокі конічні імланти на верхній щелепі в області різців і одночасно коронка з гвинтовою фіксацією.
Read More →

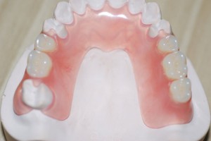
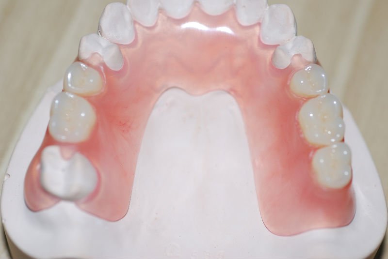
Бажання стоматологів допомогти людям, що мають проблеми із зубами і повернути їм сяючі посмішки, змушує знаходити все нові і нові методи в протезуванні зубів. Особливо гостро в поліпшенні якості протезів потребують люди, яким показано тільки знімне протезування.
Read More →

Популярність використання люмінірів серед українців зростає з кожним роком. Особливо установка люмінірів затребувана серед людей, що працюють на телебаченні і знімаються в кіно. А все через те, що камера вловлює навіть найменші недоліки у зовнішності, тому ніяких жовтих і кривих зубів бути не повинно. Але люмініри доступні не тільки багатим і знаменитим. Люди, що бвають про свою зовнішність також часто встановлюють вініри, щоб мати можливість радувати оточуючих своєю посмішкою.
Read More →

Догляд за вінірамі і люмінірами, як і їх установка, процес зовсім не трудомісткий і не вимагає якихось особливих маніпуляцій.
Read More →

З пломбуванням зубів більшість людей знайома з самого дитинства. Особливо яскраві спогади у тих, кому “пощастило” стати володарями сірих свинцевих пломб, які псували не тільки зовнішній вигляд пацієнта, але і з часом здоров’я. Зараз звичайно пломбувальні матеріали безпечні і сучасні, але проблем з установкою пломб від цього не поменшало. Часто доводиться пломбу міняти, іноді з ряду причин вони випадають, а карієс, який знову з’явився, вимагає установки ще однієї пломби. З часом каріозна порожнина тільки збільшується, а тверді тканини зуба все більше руйнуються. І в цьому випадку порушується не тільки цілісність одного зуба, але і контакт з сусідніми зубами, що викликає загальне порушення функцій зубів.
Read More →

Внутрішньокісткова (ендооссальная) імплантація – найбільш поширений вид імплантації, при якому імплантат вводиться в щелепну кісткову тканину. Такий вид імплантації дуже популярний і ефективний. Такий імлантат складається з трьох частин: частина, яка вводиться в кістку, частина на рівні ясен і частина над яснами.
Read More →
Якщо Ви втратили зуби через відсутність часу для догляду за ними, то імпланти Вам не допоможуть. Адже за зубними імплантами теж необхідно доглядати. Це ж Ваші нові “природні” зуби. І їх також необхідно буде чистити зубною пастою, і показувати стоматологу для профілактичного огляду два рази на рік.
Read More →
Ще недавно люди, у яких повністю або практично повністю були відсутні зуби, не піддавалися лікуванню, задовольняючому високий рівень естетики і функціональності. Поява імплантації в стоматології дало можливість лікарям зайнятися самими запущеними і безнадійними пацієнтами. Стоматологи могли запропонувати таким пацієнтам тільки знімні протези, громіздкі і незручні, що спадають при жуванні і іноді при розмові.
Read More →