Красное вино полезно для зубов
Красное вино – это напиток, известный на протяжении тысячелетий. Он не только положительно влияет на сердечно-сосудистую систему, но и как оказалось предотвращает развитие кариеса.
Красное вино – это напиток, известный на протяжении тысячелетий. Он не только положительно влияет на сердечно-сосудистую систему, но и как оказалось предотвращает развитие кариеса.
Появление неприятного запаха изо рта — явление, которое заставляет человека чувствовать себя неловко при общении, избегать его. Устранение неприятного запаха изо рта должно заключаться в устранении причины его возникновения. Неприятный запах изо рта появляется по разным причинам.
Американские ученые из университета Вирджинии обнаружили, что пациенты, страдающие инфекционными воспалительными заболеваниями десен, имеют повышенное содержание в плазме липопротеинов низкой плотности.
Зубы мудрости являются восьмыми зубами в челюстном ряду. Свое название они получили из-за самого позднего прорезывания. Обычно они появляются в возрасте от семнадцати до двадцати пяти лет. И если некоторым может показаться, что последний прорезавшийся зуб должен быть самым крепким, то это не так.
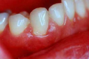
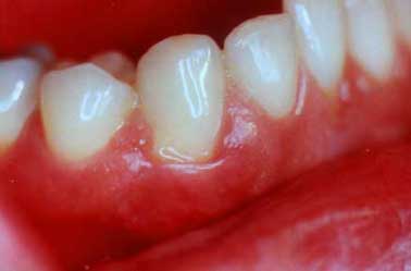
Гингивит у детей встречается не редко. Родители могут наблюдать воспаление десны, кровоточивость и припухлость. Все это является признаками данного заболевания. Основная причина недуга кроется в неправильной гигиене ротовой полости.
Подготовка пациента к оперативному вмешательству называется перемедикацией. Для успешного проведения операции в стоматологии применяют средства, которые полностью или частично устраняют чувствительность в месте, где планируется вмешательство.
Проведение стоматологического лечения, как правило, предполагает вмешательство в твердые или мягкие ткани. Эти действия влекут за собой болевые импульсы, которые человек при этом чувствует.
Вассаби получил у нас свою известность благодаря появлению суши. Васаби входит в семейство капустных и является родственником хрена. Основными поставщиками этого продукта являются Корея, Америка и Китай.
Изменение цвета зубов может выть вызвано рядом факторов. Основные из них мы попытаемся описать в этой статье.
До изобретения ингаляторов, астма была ужасной трагедией. Сегодня маленький ингалятор дает людям, страдающих астмой, возможность полноценно наслаждаться жизнью. Но, недавно стало известно о негативном воздействии ингалятора: он способен