Результаты для категории "Полезно знать"

Что такое скайсы?

украшения на зубы Сумы

Современный человек старается выделиться тем или иным способом. Одним из способов подчеркнуть свою индивидуальность являются украшения на зубы или скайсы. Еще индейцы Северной Америки подчеркивали свой статус, украшая свои зубы.

Read More →

Появление первых зубов

Появление первых зубов

Появление первых зубиков у ребенка большое событие. Появляться зубики могут на третьем месяце или ближе к годику. Это зависит от индивидуальных особенностей. Появление первых зубов у ребенка можно определить по следующим симптомам:

Read More →

Прорезывание зубов у ребенка

Прорезывание зубов у ребенка

Появление первых зубиков у ребенка приходится на 6-8 месяц, однако из-за индивидуальных особенностей это может произойти раньше или позже. Прорезывание первого зубика болезненно для ребенка и не редко родители волнуются по поводу повышения температуры.

Read More →

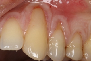
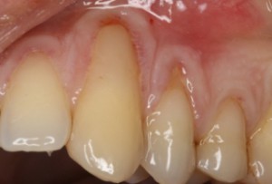
Рецессия десны

Рецессия десны

Рецессией десны называют заболевание, при котором происходит обнажение зубного корня в результате изменения в тканях. Это заболевание не опасно, но очень неприятно.

Read More →

Народные средства для лечения десен

лечение десен

Самый первый признак, указывающий на начало развития болезни десен – это кровоточивость. Если на зубной щетке стала появляться кровь после чистки зубов, то игнорировать это явление не следует, ведь воспалительный процесс развивается и несет в себе негативные последствия вплоть до потери зубов.

Read More →

Лечение молочницы народными средствами

Лечение молочницы народными средствами

Молочница или кандидоз является очень неприятным заболеванием, которым страдают как дети, так и взрослые. Большинство людей не спешит обращаться за помощью к врачам и применяет для лечения народные средства. Мы попытаемся описать самые популярные и эффективные из них.

Read More →

Гиперестезия дентина

Гиперестезия дентина

Гиперестезия дентина знакома не понаслышке многим. Другими словами – это повышенная чувствительность зубов. Такие симптомы как резкая кратковременная боль и сведение челюсти заставляют человека обратиться к стоматологу.

Read More →

Ирригатор

Ирригатор

Ежедневный уход за ротовой полостью обеспечит здоровье десен и зубов, однако, обычная зубная щетка и паста не способны полностью очистить зубы от налета. Для более тщательной очистки зубов был разработан специальный прибор – ирригатор.

Read More →