Зачем младенцу стоматолог?
Когда следует первый раз вести ребенка к стоматологу? Такой вопрос часто задают родители своим стоматологам.
Когда следует первый раз вести ребенка к стоматологу? Такой вопрос часто задают родители своим стоматологам.
Мы привыкли считать фруктовые соки источником витаминов. Родители дат их пить своим детям даже и не догадываясь о том, что кроме пользы соки могут причинить вред детским зубам.
Качественное лечение зубов может потребовать рентгеновский снимок. С его помощью врач точно определит какой именно способ лечения необходим в данной ситуации.
Энергетические напитки вошли в нашу жизнь как средство взбодриться и дополнительный источник энергии. Маркетологи компаний, выпускающих эти напитки стараются привить употребление энергетиков как составляющую стиля жизни молодых активных людей, а так же спортсменов.
Такое заболевание как рак – наиболее опасно в наши дни. Не смотря на то, что во всех отраслях медицины идет постоянное развитие, изобрести лекарство от рака еще не далось, и поэтому так важно обнаружить это заболевание на ранней стадии.
Здоровые зубы для нас это инструмент для пережевывания пищи, но не только. При общении каждый человек обращает внимание на улыбку своего собеседника, Красивая улыбка располагает к общению, человеку с красивой улыбкой мы больше склонны доверять, обладатель красивой улыбки чувствует себя увереннее. Красивые здоровые зубы делают нашу жизнь качественнее.
Современные стандарты красоты включают в себя не только стильную одежду, аксессуары или прическу. Обязательным атрибутом современного человека должна быть красивая улыбка.
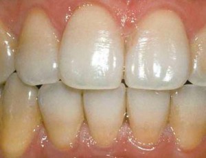
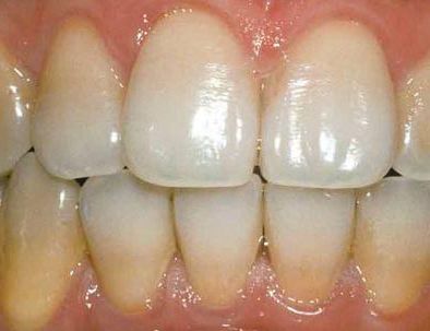
Гингивит — одно из наиболее распространенных заболеваний в области стоматологии. Не сложную фору гингивита можно вылечить не только в кабинете стоматолога, но и в домашних условиях. При лечении гингивита в домашних условиях
Невероятный прорыв в области стоматологии дал нам возможность безболезненно и бескровно проводить лечение зубов. Лечение при помощи бормашинки постепенно отходит на второй план.
Американские стоматологи советуют не забывать о здоровье зубов во время плавания в бассейне. Плавание в бассейне – то не только удовольствие, но и польза. Не смотря на это для зубов существует скрытая угроза.