Массаж десен
К сожалению, не часто в комплекс ежедневных процедур по уходу за зубами мы включаем массаж десен. Однако данная процедура дает возможность избавиться от возможной вялости тканей десны, а также благоприятно влияет на обмен веществ.
К сожалению, не часто в комплекс ежедневных процедур по уходу за зубами мы включаем массаж десен. Однако данная процедура дает возможность избавиться от возможной вялости тканей десны, а также благоприятно влияет на обмен веществ.
Одним из самых важных элементов, который помогает предотвратить появление кариеса, является фтор. Однако следует быть очень аккуратным, ведь фтор довольно токсичен, а через мерное употребление данного вещества может привести к Read More →
Кариес является одним из распространенных заболеваний. Чаще всего это связано с тем, что люди боятся посещать стоматолога для профилактики заболевания, и запускают его развитие.
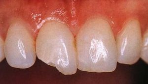
Кариес – самая распространенная «зубная болезнь». Она подразумевает разрушение зуба. Начинается кариес с растворение минералов в составе ткани зуба, затем происходит разрушение твердых тканей.
Кандидоз ротовой полости является одним из наиболее распространенных недугов ротовой полости. В ходе его протекания на слизистой и в кариозной полости образуется налет. Возбудителем заболевания являются грибы Candida. Они могут появляться не только во рту, но и на участках кожи.
Залог красивой улыбки и уверенности в себе – это здоровые зубы. Но чтобы сохранить зубы здоровыми требуется уход за ними и своевременное лечение, которого, к сожалению, мало кому удается избежать. А откладывать лечение на потом может сказаться на стоимости лечения и осложнении заболевания.
Десквамитивный глоссит или географический язык – один из видов глоссита- заболевания при котором происходит воспалительный процесс языка. Такому типу глоссита характерны шелушения эпителия. Очаги воспаления располагаются на кончике языка и по его бокам.
Глоссит – это заболевание, которое вызвано вирусной или бактериальной инфекцией и выражено воспалением языка. У детей такое заболевание встречается не редко. Объяснить это можно тем, что дети тянут в рот разные предметы и таким образом ранят себе язык. Так и происходит проникновение инфекции.
Глоссалгией называют заболевание при котором возникает боль в языке. Не часто боли появляются в слизистой оболочке губ и неба.
Гемангиомами называют доброкачесвенные опухоли, встречающиеся в челюстно-лицевом районе. Зачастую гемангиомы наблюдаются на альвеолярном отростке или на нижней челюсти. Такое образование не сулит ничего хорошего и на ранних стадиях требует лечения.