Архивы за месяц "Июнь 2020"

Удаление зубов мудрости

Удаление зубов мудрости

Зуб мудрости обязан своему названию тем, что прорезается он самым последним. Зачастую прорезывание зуба мудрости сопровождается теми или иными сложностями. Зачастую при возникновении проблем с зубом мудрости врач примет решение о его удалении, чтобы в будущем он не приносил неудобств.

Read More →

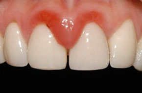
Что такое вестибулопластика?

Что такое вестибулопластика

Вестибулопластика – процедура, относящаяся к хирургической стоматологии. Эта пластическая операция проводится при заболеваниях пародонта, на подготовительном этапе перед имплантацией и при рецессии десны.

Read More →

Воспаления десен: чем лечить?

Воспаления десен чем лечить

Воспалением десен страдают более 80% людей. У некоторых воспаление протекает практически безсимптомно, некоторые его сразу замечают. Самыми распространенными заболеваниями десен являются гингивит и пародонтит.

Read More →

Кюретаж пародонтальных карманов

Кюретаж пародонтальных карманов

Гингивит и пародонтит являются наиболее распространенными заболеваниями десен. При их лечении используются различные препараты и процедура, при помощи которых устраняют причину появления заболевания. Одна из таких процедур – кюретаж пародонтальных карманов.

Read More →

Удалили зуб и болит десна: что делать?

Удалили зуб и болит десна

Удаление зуба – это полноценная хирургическая операция и как в любой другой операции здесь происходит нарушение целостности тканей. После удаления зуба пациент чувствует боль в десне. Такая боль является нормальным следствием удаления зуба, так как десна перенесла травмирование.

Read More →

Зубные пластинки

Зубные пластинки

Имидж человека формирует не только красивый наряд и аксессуары. Важной составляющей успешного и привлекательного человека является его улыбка. Красивая улыбка невозможна если зубы кривые.

Read More →