Архивы за месяц "Май 2018"
Пластинки для зубов для красивой улыбки
Большой процесс дефектов прикуса требует зависит от состояния полости рта и вредных привычек.
Как подобрать ретрактор?
В этой статье мы расскажем как подобрать ретрактор в ортодонтии.
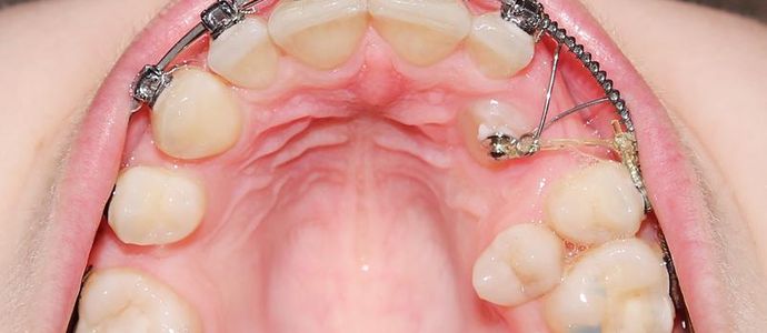
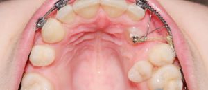
Применение ретрактора в ортодонтии
Ретрактор считается одним из важных помощников в современной ортодонтии.
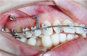
Применение винтов в практике ортодонта
Современный ортодонтический винт — это малая система по выравниванию зуба в правильное положение, используют как дополнительные атрибут.
Осложнения прорезывания зуба мудрости
В этой статье мы расскажем про осложнения прорезывания зубов мудрости.
Удаление зубов мудрости (видео)
Удаление восьмых зубов
Если восьмерки в самом труднодоступном месте, то выход только один — это удаление.
Последствия ретенции зубов
В этой статье мы расскажем про последствия ретенции зубов для человека.
Ретинированный зуб. Задержка прорезывания
В этой статье мы расскажем что такое ретинированный зуб.







