Архивы за месяц "Август 2017"

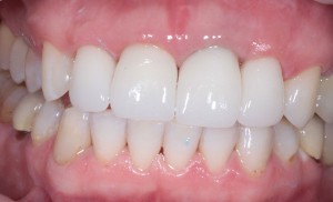
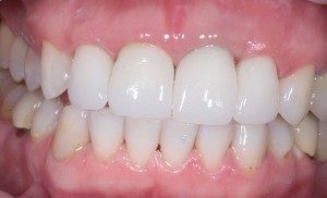
Фарфоровые коронки (Сумы)

Вряд ли найдется человек после тридцати лет, которому нет необходимости устанавливать зубную коронку. Придя на прием к стоматологу с вопросом о протезировании зубов коронками, мы узнаем, что разновидностей коронок достаточно много. Какую из них выбрать, чтобы не переплатить?

Read More →

Отбеливание зубов Air Flow (Сумы).

Сохранить белизну зубов стоит усилий. Мы постоянно употребляем в пищу различные продукты, которые обладают красящими свойствами. Так же привычка курить и пить кофе не самым лучшим способом отражается на белизне наших зубов. И, к сожалению, не редко нежелательный цвет зубов – это следствие отсутствия или неправильной гигиены полости рта.

Read More →

Способы отбелить зубы

Помимо красивой одежды современный человек должен иметь и красивую улыбку. Эталон красивой улыбки – это звезды Голливуда. Их белоснежные улыбки не оставляют равнодушными никого, и все мечтают иметь такие красивые зубы. Но посмотрев в зеркало мы часто обнаруживаем, что оттенок наших зубов далек от  желаемого. Что же делать в такой ситуации?

Read More →

Брекеты. Их преимущества и недостатки.

Красивые ровные зубы – это условие привлекательной улыбки. Далеко не все могут похвалиться идеальными зубами от природы. У большинства людей наблюдается нарушение прикуса в той или иной мере. Здесь на помощь приходит врач-ортодонт.  При помощи ортодонтических конструкций он исправит прикус и выровняет зубы.

Read More →

Способы домашнего отбеливания зубов

Белоснежная улыбка заставляет обратить на себя внимание. Красивые белые зубы в современном мире являются неотъемлемой частью имиджа человека. Поэтому эстетическая стоматология сегодня стала очень востребованной. Read More →

Сделать улыбку белее

Кто не хотел бы такую красивую улыбку как у голливудских звезд? Один из секретов такой улыбки – это белизна зубов. Стоматологи утверждают, что идеально белых зубов в природе не существует и что естественный их оттенок с желтизной.  Но как же быть если все же хочется иметь белые зубы?

 

Read More →

Чувствительные зубы

 

При употреблении горячего или холодного, кислого или сладкого может появится повышенная чувствительность. Это означает, что с зубами что-то не то. Главная причина появления высокой чувствительности зубов – это ослабление эмали зуба.

Read More →