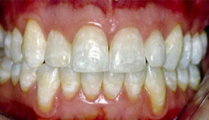
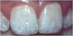
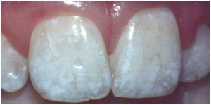
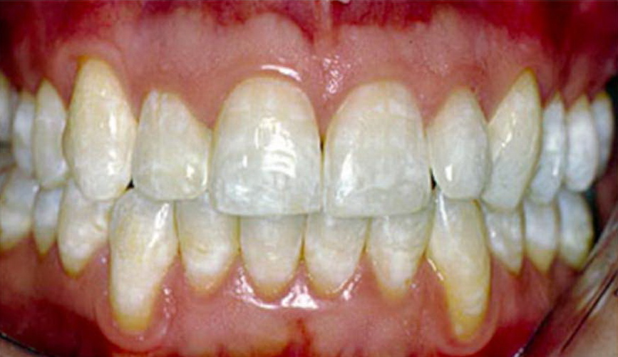
Аномалии зубов и их причины
Аномалиями зубов принято называть какое-либо отклонение от нормальной формы, размера и положения зубов в ряду. Опасность аномалии зубов заключается не только в некачественном пережевывании пищи и не эстетическом виде, сложные аномалии приводят к изменению и деформации черт лица, поэтому такую проблему следует держать под контролем.









