Клиновидный дефект зубов
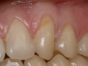
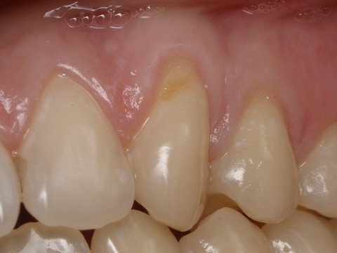
Клиновидным дефектом называется некариозное поражение зубов в районе шейки. Поражение имеет V-образную форму или форму клина (отсюда и название). Зачастую клиновидный дефект проявляется на клыках с внешней стороны.
Клиновидным дефектом называется некариозное поражение зубов в районе шейки. Поражение имеет V-образную форму или форму клина (отсюда и название). Зачастую клиновидный дефект проявляется на клыках с внешней стороны.
Несвоевременное обращение к стоматологу может привести к такому неприятному последствию как флюс. Флюс- это гнойное воспаление, которое сопровождается опуханием не только десны вокруг причинного зуба, но и щеки или губы, в зависимости от места расположения недуга.
Откладывая визит к врачу, даже когда разболелся зуб, люди полагают, что боль уйдет сама по себе и ничего страшного не случится. Но это категорически неправильное решение, ведь боль – это сигнал организма, что где-то не все в порядке, а временное затухание болевого симптома, говорит лишь о том, что заболевание переходит на следующую стадию. Одним из таких осложнений является флюс.
Эдентулизмом называют отсутствие зубов. Бывает эдентулизм полный и неполный. Неполный предполагает отсутствие одного или нескольких зубов, полный, соответственно, полное отсутствие зубов.
Фибромой называют доброкачественное образование в полости рта. Такие образования не опасны в течении развития, но могут спровоцировать осложнения. Фиброма не вызывает у человека какого-либо дискомфорта. Чувствуется ее наличие при принятии пищи.
Околочелюстной абсцесс предполагает гнойное воспаление в тканях челюстно-лицевой области.
Проявляется заболевание в виде припухлости и покраснения в месте воспаления. Кроме того происходит асимметрия черт лица. Пациент чувствует боли при глотании. Если не предпринять своевременные меры заболевание может перерасти в флегмону с более широкой областью поражения.
Белоснежная улыбка – это одно из требований к внешнему виду в современных реалиях. Выражение «встречают по одежке» можно дополнить фразой «и по улыбке», ведь улыбка это визитная карточка человека, которая располагает к общению и привлекает внимание.
Ну кто же не мечтает о здоровых зубах, в то время, когда услуги стоматолога стоят немалых денег? Некоторые списывают проблемы с зубами на плохую наследственность, некачественное питание и т.д.
Внешний вид человека очень важен в наши дни, так как первое впечатление складывается именно из-за него. Кроме хорошей одежды и аккуратной прически должна быть красивой и улыбка. И чтобы сохранить красоту своих зубов за ними необходимо ухаживать.
Адентией называют заболевание, при котором отсутствует один или несколько зубов. Потеря зубов происходит по причине аномалии их развития или после потери из-за травмы или стоматологического заболевания.