Архивы за месяц "Февраль 2017"

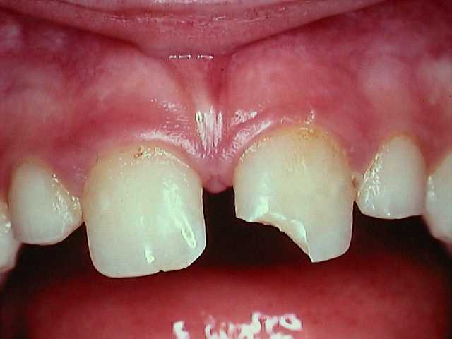
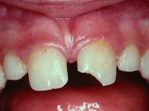
Перелом зуба. Возможные осложнения.

Перелом зуба случается при воздействии на него физической силы. Часто такое неприятное явление случается с детьми, которые активно бегают на игровой площадке или со спортсменами, ведущими активный образ жизни и занимающиеся экстремальными видами спорта.

Read More →

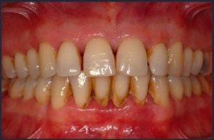
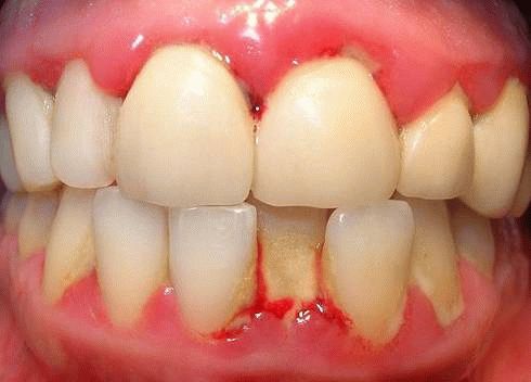
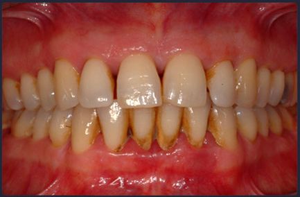
Генерализированный гингивит Симптомы и лечение.

Генерализованный гингивит – один из видов гингивита и представляет собой воспаление всей десны верхней или нижней челюсти. Этим геерализированный гингивит и отличается от других форм при которых воспаление локализовано лишь на отдельном участке слизистой.

Read More →

Профилактика зубного налета.

Налет на зубах – это не только не красиво внешне, но и представляет опасность для здоровья десен и зубов. С врачебной точки зрения такое явление как налет на зубах в лечении не нуждается, но это не означает, что от него не следует избавляться.

Read More →

Зубная гранулема и ее лечение.

Зубная гранулема – воспаление, возникающее в области корня зуба и представляет собой небольшое образование округлой формы с четкими границами, за которые до определенного момента не распространяется инфекция.

Read More →

Миксомы

Миксомы – это доброкачественные опухоли, которые могут появляться в области челюстно-лицевой кости. Такое заболевание диагностируют очень редко, и по статистике оно не превышает 1% случаев образований в этом участке тела человека.

Read More →

Лечение лимфангиомы

Лимфангиома – это доброкачественная опухоль, клетки которой происходят из лимфатических сосудов. В зависимости от размера лимфангиому разделяют на макрокистозную (более 5 см) и микрокистозную (менее 5 см).

Read More →

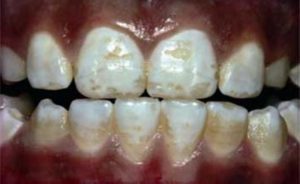
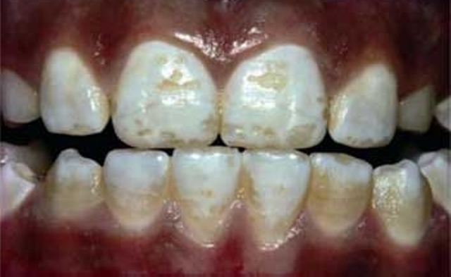
Как распознать флюороз

Флюороз – это заболевание, при котором эмаль зуба повреждена. Визуально флюороз выглядит как потемневшие пятна на поверхности зубов. Такое явление не только отражается на красоте зубов, но и оставляет зубы без защиты перед внешней средой.

Read More →

Как сделать зубы белее?

Улыбка, которая ослепляет своей белизной, не оставит никого равнодушным. Белые зубы – символ успешности и уверенности. Однако далеко не каждый может похвастаться белоснежными зубами. Зубы так же теряют свою природную белизну. Почему так происходит?

Read More →