Архивы за месяц "Февраль 2017"

Зубная гранулема.

Под зубной гранулемой следует понимать ограниченное воспаление периодонта. Располагается гранулема у корня зуба и имеет округлую форму. Причиной образования гранулемы является попадание инфекции.
Инфицирование происходит в результате:

Read More →

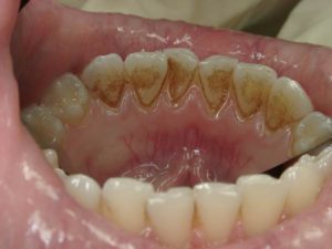
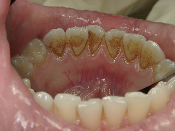
Зубной камень и в чем его опасность.

Зубной камень – это образование, которое формируется из зубного налета, который со временем затвердевает. Многие полагают, что зубной камень – это только эстетический дефект и никакого вреда он не несет. Однако это не так.

Read More →

Когда нужно удалять зуб?

Когда случай сложный и спасти зуб не получится, только в этом случае врачом будет принято решение о удалении. При других обстоятельствах современный стоматолог сделает максимум усилий по спасению зуба.
Удаление зуба – это серьезная хирургическая операция.

Read More →

Развитие рака языка

Рак языка это злокачественная опухоль из плоского эпителия. Это заболевание очень опасно, так как развивается быстро и может закончиться летальным исходом. Но не смотря на пугающий диагноз это заболевание успешно подается лечению и главное – это вовремя обратиться к врачу.

Read More →

Глоссалгия и ее проявление.

Глоссалгия – заболевание, которое характеризуется возникновением болевых ощущений в слизистой рта. Особенно ощутимы боли в языке. Болезненные ощущения на внутренних поверхностях щек и небе носит название «стомалгия».

Read More →

Ксеростомия

Ксеростомией называют недуг при котором наблюдается недостаточное слюноотделение и как следствие – сухость во рту. Сухость во рту является не только не приятным явлением, но и опасным, так как это идеальная среда для развития болезнетворных бактерий.

Read More →

Лечение альвеолита

Альвеолит – это воспалительное заболевание, которое может возникнуть на месте удаленного зуба из-за попадания в лунку инфекции. Диагностировать альвеолит очень легко и сделать это сможет сам пациент.

Read More →

Удаление зубов мудрости.

Зубы мудрости получили свое название из-за того, что режутся они самыми последними и часто после 23 лет. В ряду они идут восьмыми, поэтому врачи их называют «восьмерки». О своем появлении зубы мудрости дают знать своему владельцу болевыми ощущениями.

Read More →

Развитие хейлита.

Хейлит – это заболевание которому характерно появление раздражений на губах. В народе часто можно услышать другое название – заеды. Заболевание имеет различную природу появления и часто причины заболевания не зависят от человека.

Read More →

Лейкоплакия

Под лейкоплакией следует понимать заболевание слизистой оболочки при котором происходит ороговение эпителия, его уплотнение и облущивание. В большинстве случаев лейкоплакия появляется на поверхности языка в уголках губ и на внутренней стороне щек.

Read More →