Архивы за месяц "Февраль 2017"

Бруксизм. Опасность заболевания.

Бруксизм ом называется непроизвольное скрежетание зубами. В основном это явление происходит ночью во время сна и в редких случаях днем. Многие замечали за своими родными такое явления, но мало кто отдает отчет о серьезности ситуации.

Read More →

Анклиоз височно-нижнечелюстного сустава.

Анклиозом височно-челюстного сустава называют заболевание при котором происходит нарушение подвижности челюсти в результате диструктивных нарушений. О того, на сколько сильно развивается заболевание, челюсть может быть частично подвижной или неподвижной вовсе. Анклиоз имеет множество видов и каждый из них имеет свою характеристику.

Read More →

Альвеолит. Причины заболевания и его лечение.

Альвеолитом называют воспаление лунки зуба после его удаления. Альвеолит может стать следствием полученной травмы, приведшей к потере зуба. Так же это заболевание может появиться после некачественно проведенной операции по удалению зуба.

Read More →

Что такое адентия?

Адентия – это такое заболевание при котором отсутствует от одного до нескольких зубов и это не связано с потерей зубов по причине их заболевания. Адентия является аномалией. Она может быть как врожденной, так и приобретенной, в результате чего зубы не появляются вовсе.

Read More →

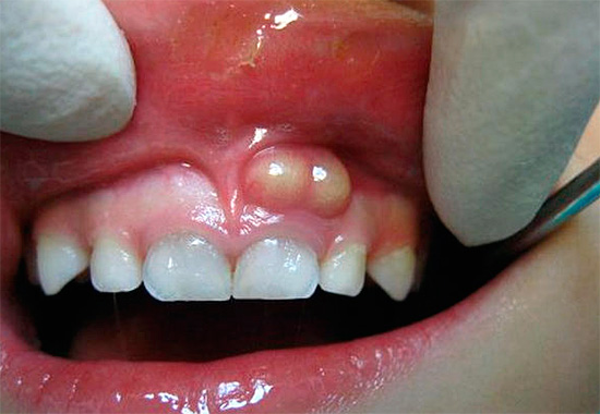
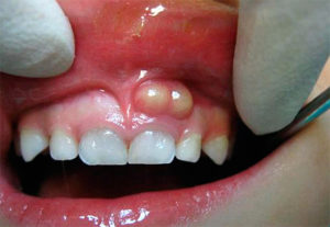
Абсцесс и его проявление

Абсцессом принято называть скопление гноя в том или ином участке организма. Абсцесс может спровоцирован попаданием инфекции и чаще всего это связано с механическим повреждением и распространением вредных микроорганизмов.

Read More →

Остеонекроз челюсти – что это?

Под остеонекрозом челюсти следует понимать разрушение кости, т.е отмирание костной ткани челюсти. Такое заболевание опасно и встречается не часто. Оно вызывает нарушение кровообеспечения кости, что ведет к ее ослаблению и как следствие – выпадению зубов.

Read More →

Остеомиелит

Остеомиелитом называют опасное воспалительное заболевание, при котором поражены все составляющие костной ткани (кость, надкостница, костный мозг). Такое заболевание приводит к остеонекрозу – отмиранию костной ткани.

Read More →

Периостит

Периостит или как чаще можно услышать – флюс, является воспалительным заболеванием, которое развивается в надкостнице и возникает по причине некоторых заболеваний зубов.

Read More →

Резекция верхушки корня зуба

Современная стоматология сделает все возможное, чтобы сохранить зуб и его удаление – это самая крайняя мера. Решение о удалении зуба принимает врач в том случае, когда консервативные методы лечения не принесут результат. Одной из зубосохраняющих хирургических операций является апикоэктомия или резекция зубного корня.

Read More →