Кратко о кариесе
Кариес – самая распространенная «зубная болезнь». Она подразумевает разрушение зуба. Начинается кариес с растворение минералов в составе ткани зуба, затем происходит разрушение твердых тканей.
Кариес – самая распространенная «зубная болезнь». Она подразумевает разрушение зуба. Начинается кариес с растворение минералов в составе ткани зуба, затем происходит разрушение твердых тканей.
Кандидоз ротовой полости является одним из наиболее распространенных недугов ротовой полости. В ходе его протекания на слизистой и в кариозной полости образуется налет. Возбудителем заболевания являются грибы Candida. Они могут появляться не только во рту, но и на участках кожи.
Залог красивой улыбки и уверенности в себе – это здоровые зубы. Но чтобы сохранить зубы здоровыми требуется уход за ними и своевременное лечение, которого, к сожалению, мало кому удается избежать. А откладывать лечение на потом может сказаться на стоимости лечения и осложнении заболевания.
Десквамитивный глоссит или географический язык – один из видов глоссита- заболевания при котором происходит воспалительный процесс языка. Такому типу глоссита характерны шелушения эпителия. Очаги воспаления располагаются на кончике языка и по его бокам.
Глоссит – это заболевание, которое вызвано вирусной или бактериальной инфекцией и выражено воспалением языка. У детей такое заболевание встречается не редко. Объяснить это можно тем, что дети тянут в рот разные предметы и таким образом ранят себе язык. Так и происходит проникновение инфекции.
Глоссалгией называют заболевание при котором возникает боль в языке. Не часто боли появляются в слизистой оболочке губ и неба.
Гемангиомами называют доброкачесвенные опухоли, встречающиеся в челюстно-лицевом районе. Зачастую гемангиомы наблюдаются на альвеолярном отростке или на нижней челюсти. Такое образование не сулит ничего хорошего и на ранних стадиях требует лечения.
Скапливающееся на зубах вещество называют зубным налетом. Образованию налета на зубах способствует некачественная гигиена полости рта. Налет бывает разных видов и каждый из них может перетекать в друг в друга. Рассмотрим виды зубного налета.
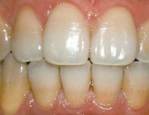
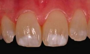
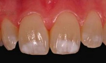
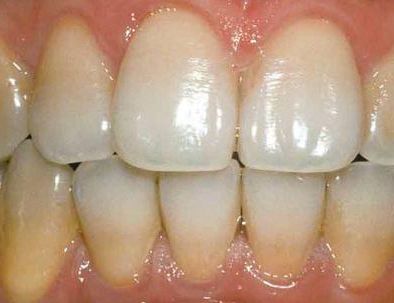
Под гипоплазией эмали следует понимать ее не полное развитие или отсутствие. Наиболее частой причиной является патология в развитии эмали. Врачи разделяют гипоплазию на три вида:
Основными симптомами, говорящими о возникновении генерализированного гингивита, являются отек и покраснение десен. При этом человек ощущает болезненность. Клиническая картина заболевания определяется в зависимости от его типа. Так же от ого какого типа в данном случае гингивит будет зависеть и дальнейшее лечение.