Архивы за месяц "Декабрь 2016"

Повышенная чувствительность зубов. Причины заболевания.

Повышенную чувствительность зубов принято называть гиперестезией. Эта проблема сказывается на комфорте, так как любой прием пищи, особенно горячей, холодной, кислой или сладкой, вызывает болевые ощущения. Почему же возникает высокая чувствительность зубов?

Read More →

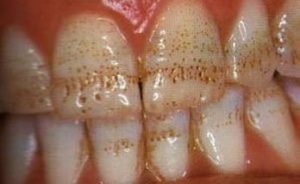
Чистка зубов аппаратом Air flow

Тщательно очистить зубы одной только зубной щеткой не получится. Щетина зубной щетки не способна проникать в межзубные промежутки. Так же качественной очистке зубов мешают индивидуальные особенности прикуса (скрученность зубов).

Read More →

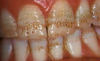
Чистка ультразвуком (Сумы).

Чистка зубов является обязательным ежедневным мероприятием. С помощью зубной щетки мы снимаем с зубов налет и тем самым препятствуем возникновению кариеса. Однако, полностью очистить зубы от налета одной лишь зубной щеткой не получится.

Read More →

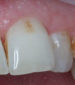
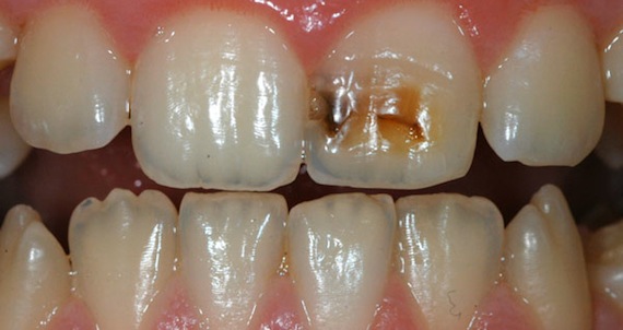
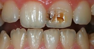
Начало развития кариеса.

Кариес – основная причина разрушения и потери зубов. Заболевание возникает по ряду причин: плохая наследственность, повреждение эмали, но самая главная причина – это неправильная гигиена или полное ее отсутствие.

Read More →

Если болят передние зубы

Зубная боль часто застигает нас врасплох и не смотря на то, насколько качественно мы следим за гигиеной ротовой полости, от появлении зубной боли никто не застрахован. Причинами болей могут служить разные факторы: неправильно проведенное лечение зубов, боль в результате бруксизма (непроизвольное скрежетание зубами), истощение эмали и др.

Read More →

Некроз твердой ткани зуба. Профилактика заболевания.

Некроз твердых тканей зубов – серьезная проблема, ведущая к разрушению зубов и утрате основной их функции – жевательной. Причиной появления некроза твердых тканей могут быть как заболевания внутренних органов, так и влияние окружающей среды.

Read More →