Архивы за месяц "Декабрь 2016"

Пульпит молочных зубов

Строение молочных зубов немного отличается от строения зубов коренных. В первом случае эмаль покрывает зуб более тонким слоем, а каналы зуба шире. Поэтому молочные зубы не так сильно защищены от попадания болезнетворных микроорганизмов в пульпу.

Read More →

Почему болят все зубы?

Обычно, если начинается зубная боль, то это значит, что проблема с каким-нибудь одним зубом, но иногда случается, что болят все зубы одновременно. К стоматологу в этом случае нужно обратиться незамедлительно. Такая боль может быть вызвана

Read More →

Симптомы альвеолита

Удаление зуба – это операция, к которой прибегают лишь в том случае, когда спасти зуб невозможно. Любая операция – это травма для организма и к сожалению иногда случаются осложнения. В случае с удалением зуба осложнением является альвеолит.

Read More →

Преимущества и недостатки ультразвуковой чистки.

Чистка зубов ультразвуком – процедура при помощи которой происходит снятие с зубов мягких и твердых отложений (зубного камня). Для этого используется прибор – скейлер и специальная паста.

Read More →

Лечение каналов. Противопоказания и оценка лечения.

Воспаление зубной пульпы является следствием запущенного кариеса или травмы. Кроме того, что воспаление пульпы причиняет сильные болевые ощущения, такое явление может привести к потере зуба.
Лечение воспаленной пульпы (гингивита) заключается в удалении самой пульпы и чистке каналов с дальнейшей их пломбировкой.

Read More →

Кратко о лечении каналов зуба

Полость корня зуба заполняет пульпа. Проникновение к ней инфекции вызывает воспалительный процесс. Ощущения при этом не из приятных. И если вы чувствуете ноющую боль, возникающую при приеме пищи, усиливающуюся ночью и мешающую спать, будьте уверены, что в большинстве случаев это пульпит. При первой же возможности нужно обратиться к стоматологу.

Read More →

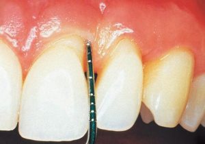
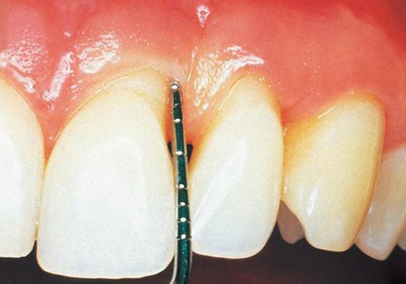
Лечение пародонтоза.

Пародонтоз – это серьезное воспалительное заболевание десен. Запущенная стадия этого заболевания ведет к выпадению зубов. Самым явным признаком пародонтоза является обнажение корня зуба.

Read More →

Профилактика расшатывания зубов.

Расшатывание зубов свидетельствует либо о проблемах со здоровьем, либо о полученной механической травме. Шатающиеся зубы доставляют нам неудобства при приеме пищи и даже могут со временем выпасть. Чтобы этого не произошло нужно укреплять десны.

Read More →

Укрепление десен в домашних условиях

Укрепление десен очень важно в случаях, когда зубы стали подвижными. Это может случиться как по причине заболеваний внутренних органов или полости рта, так и по причине травм полученных на работе или во время тренировок.

Read More →