Язвенный стоматит. Симптомы и лечение.
Язвенный стоматит является серьезным заболеванием слизистой оболочки полости рта при которой наблюдается воспаление и отечность. Характерно такому виду стоматита образование язвочек.
Язвенный стоматит является серьезным заболеванием слизистой оболочки полости рта при которой наблюдается воспаление и отечность. Характерно такому виду стоматита образование язвочек.
Лечение пульпита предусматривает удаление нерва и пломбировку каналов. Процедура эта достаточно сложная и требует от стоматолога навыков и ответственности, так как неправильные действия могут привести к осложнениям и потере зуба.
Запущенный кариес непременно приведет к воспалению пульпы зуба или как часто можно услышать – нерва. Воспаление нерва называют пульпитом. Этому заболеванию характерны болезненные ощущения, которые усиливаются при попадании на пораженный участок раздражителя, а так же в ночное время.
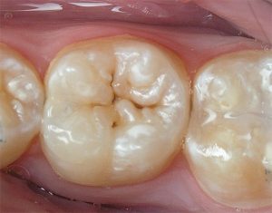
Фиссурами называют маленькие канавки на поверхности моляров. Эти канавки очень уязвимы к воздействию бактерий, так как слой эмали в них меньше. Поэтому у детей рекомендовано проводить процедуру герметизации фиссур для профилактики кариеса.
Кариес – это самая распространенная стоматологическая болезнь как у взрослых так и у детей. Дети больше подвержены кариесу чем взрослые, так как эмаль молочных зубов не такая крепкая как эмаль коренных, поэтому заболевание поражает детские зубы быстрее.
Адентию можно назвать наиболее неприятной и неожиданной стоматологической болезнью. Некоторые люди даже не могут себе представить, что подобное может случиться. Дело в том, что при таком недуге происходит частичная или полная потеря зубов как у взрослых, так и у детей.
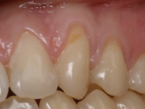
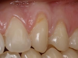
Клиновидный дефект – патология, которая встречается сравнительно не часто. Это явление означает некариозное поражение эмали, которое чаще возникает на молярах и передних зубах Клиновидный дефект отличает своеобразный уступ, делающий зуб визуально похожим на клин (отсюда и название).
Домашнее отбеливание многие представляют себе исключительно народными методами. Однако не редко люди, применяя тот или иной метод домашнего отбеливания, который они нашли в интернете, вредят своей эмали. В итоге результат отбеливания не такой как ожидалось, держится он не долго и появляется
Композитные виниры – это хороший способ сделать совершенной свою улыбку. С помощью такого способа микропротезирования можно устранить различные дефекты зубов в зоне улыбки и сделать их идеальными.
Композитные виниры изготавливают из композита. Это можно понять и по названию.
Сделать идеальную улыбку теперь можно за короткое время. В этом нам помогут композитные виниры. С их помощью можно скрыть и некоторые недостатки зубов зоны улыбки.