Архивы за месяц "Декабрь 2016"

Режется зуб мудрости. Когда начинать волноваться?

Зубы мудрости появляются самыми последними к годам двадцати пяти. Процесс этот не из приятных. Он сопровождается болевыми ощущениями и часто осложнениями.
Помочь унять боль можно при помощи средств народной медицины. Для этого используют полоскания. Приготовить его не сложно.

Read More →

Об отбеливании перекисью.

Когда не устраивает цвет своих зубов, начинаешь задумываться об отбеливании. Отбеливание зубов сегодня самая популярная процедура в стоматологической клинике, на которую люди соглашаются без опасений.

Read More →

Налет на языке. Лечение.

Налет на языке доставляет некий дискомфорт и от него хочется избавиться. Но прежде чем начать избавляться от этого неприятного явления следует выяснить почему налет образовался. Причин тому может быть масса и само наличие на языке налета может свидетельствовать как о каком-либо заболевании, так и быть абсолютно безопасным.

Read More →

Хлоргексидин для полоскания.

На помощь в борьбе с патологичекой микрофлорой в ротовой полости нам придет хлоргексидин. Это распространенное антисептическое средство, применяемое для лечения многих инфекций. Так же хлоргексидин является хорошим средством для профилактики вирусных заболеваний, которые можно подхватить в осеннее-весенний период.

Read More →

Абсцесс зуба. Возможные осложнения и лечение.

Абсцесс зуба начинается из-за проникновения инфекции по причине больных зубов или десен. Для абсцесса характерно гнойное образование у верхушки корня зуба. Заподозрить заболевание можно по следующим симптомам: повышение температуры тела и общая слабость, десна отекла и покраснела, пережевывание стало болезненным. Так же абсцесс сопровождается острой болью.

Read More →

Зубной порошок

Зубной порошок появился в Великобритании в ХIXвеке. Его изготавливали из мела, сегодня же основа осталась прежней, но стали добавлять ароматизаторы, эфирные масла и абразивы. Зубные порошки можно приобрести в любой аптеке, но данное средство уже не пользуется популярностью.

Read More →

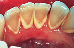
Борьба с зубным камнем

Зубной камень – это твердое образование, в который превращается зубной налет, если его вовремя не снимать. Кроме эстетического дефекта зубной камень несет в себе угрозу воспаления десен и образования кариеса.

Read More →

Налет на языке

Человеческий язык имеет бледно-розовый оттенок или насыщенный розовый цвет, он мягкий и не доставляет дискомфорт при пережевывании пищи. Но некоторые люди страдают наличием налета на языке. Такой налет может располагаться на отдельной части языка или по всей ее поверхности. Так по какой же причине на языке появляется налет?

Read More →