Архивы за месяц "Июль 2016"

Отбеливание чувствительных зубов

отбеливание

Отбеливание зубов в г. Сумы – наиболее распространенная процедура эстетической стоматологии. Красивая улыбка всегда являлась визиткой человека. Но отбеливание зубов считается процедурой, которая может негативно сказаться на зубной эмали.

Read More →

Временные пломбы

временная пломба

Временные пломбы применяются в стоматологии очень часто. Периодонтит, глубокий кариес или пульпит начинают лечить с установки в зубную полость лекарственных препаратов, которые и закрываются временными пломбами. Такие пломбы могут устанавливаться сроком от одного дня до месяца.

Read More →

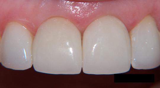
Прессованная керамика

коронки из прескерамики

Сейчас у всех на слуху протезирование на основе диоксида циркония. Об этом  виде протезирования написано очень много в интернете и большинство врачей рекомендуют его как самый лучший. Но не следует списывать со счетов, так же обладающую прекрасными эстетическими характеристиками прессованную керамику.

Read More →

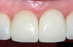
Установка металлокерамики на импланты

металлокерамика имплантат сумы

В случае, когда коронку крепить не осталось к чему (зуб полностью разрушен или отсутствует) альтернативой съемным протезам выступает имплантация зубов в г. Сумы.
Имплантация представляет собой внедрение искусственного корня и установка на него зубного протеза.

Read More →

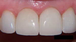
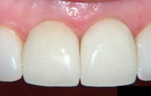
Металлокерамические коронки на передние зубы

металлокерамика

Металлокерамические протезы в Сумах очень распространены. Это обусловлено не большой ценой и хорошим качеством. Применение металлокерамических коронок для восстановления передних зубов имеет свои преимущества и недостатки.
Преимущества:

Read More →

Герметик для фиссур

герметизирование фиссур

Кариес— заболевание, которым страдают практически все жители планеты.  По частоте возникновения кариеса жевательная поверхность зуба занимает лидирующую позицию благодаря мелким канавкам, которые называются фиссурами. Фиссуры, в отличии от других частей зуба имеют меньший слой покрытия эмалью. Поэтому они более уязвимы. Кроме этого бороздки не так хорошо поддаются чистке зубной щеткой.

Read More →

Бюгельный протез на замках

бюгель

Бюгельные протезы в г. Сумы благодаря своей надежности, внешнему виду и удобству в использовании, пользуются большой популярностью.  Способов крепления бюгельных протезов существует два – это на кламмерах и на замках. В этой статье мы расскажем о преимуществах крепления бюгельных протезов на замках.

Read More →