Правила ухода за брекетами
Как и зубы, установленные на них брекеты,так же нуждаются в уходе. Тщательная чистка избавит от накопления пищи в элементах конструкции, которая начав гнить , становится источником неприятного запаха.
Как и зубы, установленные на них брекеты,так же нуждаются в уходе. Тщательная чистка избавит от накопления пищи в элементах конструкции, которая начав гнить , становится источником неприятного запаха.
Фторирование — профилактическая процедура. Проводится для предотвращения образования кариеса.
Зубные имплантаты в г. Сумы – это самый современный метод протезирования.
Какими преимуществами обладает такой вид протезирования?
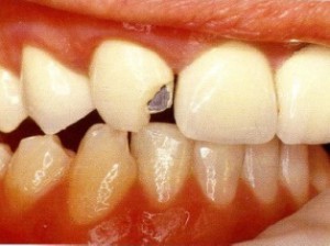
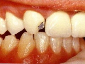
Металлокерамические коронки в г. Сумы можно назвать наиболее популярными благодаря соотношению цена-качество. Но иногда случаются такие неприятности как скол керамического покрытия. Что же является причиной таких сколов?
Лечение зубов в Сумах – комплекс мероприятий по устранению острой боли, либо различных заболеваний.
Главное в лечении зубов для стоматолога – это ответственное отношение. Ведь , например, не полностью запломбированный канал может привести к периодонтиту.
Успешное лечение зубов зависит от :
Протезирование на стеклянных опорах является хорошей альтернативой пациенту, не желающему носить съемные протезы. Такая конструкция изготавливается их стекла особого сплава. Опорой для конструкции будет служить слизистая оболочка челюсти.
В переводе с немецкого слово «bugel» означает «дуга». И именно отсюда и пошло название «бюгельное протезирование». Преимуществом данных протезов является то, что они в меньшей степени травмируют десны, чем в случае применения стандартных протезов. Read More →
Причины возникновения заболеваний пародонта у взрослых и детей могут отличаться. У детей ткани пародонта постоянно растут, являются не укрепленными и поэтому сильнее реагируют на раздражители внешней среды. Так же у детей наблюдается и разная скорость прорезывания зубов.
Проводя какую-либо манипуляцию всегда есть риск возникновения осложнений и зубная имплантация здесь не исключение. Правильно проведенная операция, при которой соблюдается технология и техника безопасности, а так же учитываются особенности организма пациента, как правило, осложнений не дает.
Острый диффузный пульпит отличает общее воспаление зубной мягкой ткани.
Это заболевание отличается сильной болью возникающей ночью и днем без влияния раздражителей. Боль продолжительна и может отдавать в виски. Кариозная полость имеет обширный объем, а также ощущается неприятный запах от гниющей пищи.