10 причин выбрать металлокерамику
Современная металлокерамическая коронка— очень популярный вид протезирования, который способен решить множество проблем, связанных с восстановлением разрушенных или потерянных зубов.
Современная металлокерамическая коронка— очень популярный вид протезирования, который способен решить множество проблем, связанных с восстановлением разрушенных или потерянных зубов.
Пульпит -это заболевание при котором происходит воспаление пульпы зуба. На ранней стадии пульпита при своевременном обращении к стоматологу может быть применен биологический метод лечения пульпита. Такой метод лечения позволяет оставить зуб живым и не удалять нерв.
При протезировании, будь-то съемное или несъемное, существует риск возникновения осложнений. Этого боятся не нужно. Так как все проблемы разрешит Ваш лечащий врач.
Рассмотрим причины осложнения при различных видах протезирования.
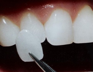
Пожалуй, наиболее быстрый способ придать своей улыбке идеальный вид и избавить ее от нежелательного цвета или дефектов – это установка виниров.
Подготовка зубов к протезированию включает в себя профилактику и проведение манипуляций с зубами. Только качественная подготовка поможет сделать протезирование надежным и с отсутствием осложнений.
Самый востребованный вид протезирования – это протезирование металлокерамическими коронками. Объяснить это можно надежностью, долговечностью и доступной ценой конструкции.
Зубной имплантат— это искусственный зуб, который состоит из титанового стержня, который вживляется в костную ткань, и коронковой части, изготовленной из металлокерамики или безметалловой керамики.
Слово «кариес» у всех на устах с момента, когда мы только увидели первые рекламные ролики по телевизору различных зубных паст и жевательных резинок.
Что такое кариес?
Как правило с зубным налетом, зубным камнем, запахом изо рта помогают справится правильно подобранные такие средства гигиены как:
Хорошая альтернатива пломбированию – это зубные вкладки. Вкладки изготавливаются из керамики или различных композитных материалов. Особенностью установки вкладки является снятие слепка, по которому она и будет изготовлена.