Архивы за месяц "Май 2016"

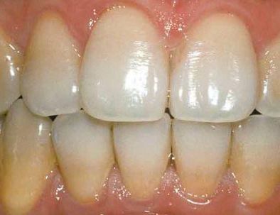
Установка металлокерамических коронок

металлокерамическая-коронка

Металлокерамические коронки в Сумах – доступный способ восстановить утраченные зубы.

Протезирование коронками целесообразно, когда большая часть зуба разрушена и пломбировочным материалом восстановить зуб становится неэффективно.

Read More →

Чувствительные зубы

чувствительные зубы

Чувствительные зубы приносят человеку множество неприятных ощущений.  Что же делать в такой ситуации?

Научное название чувствительных зубов – гиперестезия. Она проявляет себя из-за воздействия на зубы (н-р  зубной щеткой, попадания горячего или холодного).

Read More →

Признаки пародонтоза

пародонтоз

Пародонтоз – заболевание, которое протекает без симптомов и поэтому у многих остается без внимания. Пародонтоз нельзя считать заразным заболеванием, полагается, что с самого рождения человек уже предрасположен к нему.

Read More →

Чистка языка

чистка языка

Следить за гигиеной полости рта люди начали, как минимум пять столетий назад. Для чистки языка использовали шишки или щепки деревьев, богатые на эфирные масла, или же специальные скребки из серебра и других металлов.

Read More →

Установка виниров на передние зубы

виниры

Фарфоровые пластинки, которые устанавливают на зубы – это виниры. С их помощью врач за совсем небольшой срок сможет исправить цвет и форму зубов пациента. Так же виниры используются и для защиты зубов от окружающей среды.

Read More →