Короткая уздечка языка
Состояние ротовой полости у ребенка требует ухода. Родители не обращают своего внимания на уздечки языка. Эта статья кратко поведаем именно про них.
Состояние ротовой полости у ребенка требует ухода. Родители не обращают своего внимания на уздечки языка. Эта статья кратко поведаем именно про них.
Во время беременности лучше избегать любых хирургических операций в полости рта.
Экстракция представляет собой хирургический процесс, в результате которого удаляется больной зуб. Показания для удаления стоматолог назначает индивидуально после тщательного осмотра и рентгена. Если зуб не спасти никак, то его убирают.
Все чудесно знают, что в полости рта у человека 32 зуба. Назначение зубов – жевание пищи. Из нашей статьи Вы узнаете, почему важно сохранять зубы.
Среди других болезненных состояний у маленьких детей наблюдается и кашель. Почему бывает кашель при прорезывании зубов? Узнаем из данной статьи.
Все зависит от причин. После выяснения причин, нужно обращать внимание на следующие моменты. Более детально в подробнее.
Слизистая оболочка у ребенка нежная и тонкая, поэтому любое заболевание в полости рта может развиваться с молниеносной скоростью.
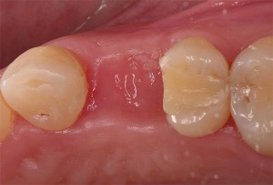
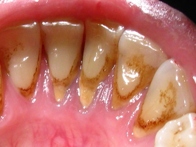
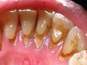
В этой статье мы расскажем про причины возникновения зубного камня и последствия.
При недостаточной гигиене полости рта на зубах скапливается налет, который со временем становится твердым.
Появление у ребенка, а также смена зубов на постоянные — это всегда радость для родителей.