Зубная диета
Зубы человека играют большую роль в нашем организме. Каждый день на них выпадает большой объем работы. С помощью них мы откусываем пищу, размельчиваем и разгрызаем продукты.
Зубы человека играют большую роль в нашем организме. Каждый день на них выпадает большой объем работы. С помощью них мы откусываем пищу, размельчиваем и разгрызаем продукты.
В полости рта человека находится множество бактерий, как вредоносных, так и безопасных. При сильном иммунитете воздействие бактерий на организм не происходит. Но при ослабленном иммунитете, воздействие бактерий активизируется. Продукты жизнедеятельности таких бактерий приводит к образованию на языке плотного налета.
Волосатая (волосистая, воросистая,) лейкоплакия представляет собой заболевание полости рта, при которой происходит появление белых нитевидных новообразований на слизистой.
Очень часто мы слышим, как родители пугают своих детей кариесом. И причиной его появления называют злоупотребление сладостями, ведь в них содержится большое количество сахара.
Пирсинг и татуировка стали модным атрибутом в современном обществе. Их делают и женщины, и мужчины, молодые и даже зрелые люди.
К выбору еды все мы подходим индивидуально, кто-то любит пряную пищу, кто-то предпочитает соленную, а другому подавай что-нибудь сладенькое. К выбору еды мы подходим исходя от наших вкусовых предпочтений.
К сожалению, сохранить здоровье зубов не всегда удается. Потерять зубы можно даже в молодом возрасте. Это может произойти в результате травмы или развитии стоматологических заболеваний. Восполнить потерянные зубы можно с помощью зубных протезов.
Хорошее слюноотделение является важным элементом для здоровья человека.
Для ее выделения существует три пары больших и большое количество маленьких слюнных желез. Каждые сутки в человеческом организме выделяется приблизительно два литра слюны.
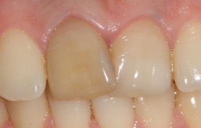
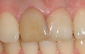
Как бы страшно не звучало, но такое явление, как «мертвый» зуб не раз встречался в стоматологической практике. Это зуб, который лишился жизнеспособности в результате гибели нервов или сосудов.
Грибковая инфекция может поразить любую часть организма человека. Одним из таких заболеваний, при котором происходит поражение челюстно-лицевой области, называется актиминозом. Возбудителями такого заболевания становятся актиномицеты или лучистые грибы. В связи с этим актиминоз еще называют лучистогрибковым заболеванием.