Пародонтальные карманы: как лечить?
Пародонтит на начальной стадии лечится терапевтическим способом. Для этого будет достаточно провести чистку зубов от мягкого и твердого зубного налета при помощи ультра звука.
Пародонтит на начальной стадии лечится терапевтическим способом. Для этого будет достаточно провести чистку зубов от мягкого и твердого зубного налета при помощи ультра звука.
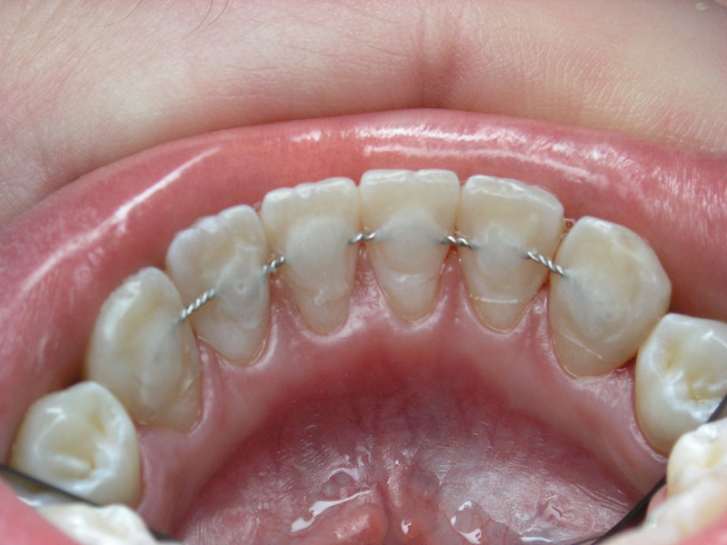
Запущенные болезни ротовой полости обязательно приведут к весьма неприятным последствиям. Запущенный пародонтит ведет к тому, что зубы становятся подвижными. Сохранить их можно только проведя процедуру шинирования . Что же это такое шинирование зубов?
Зубная боль очень неприятное явление. Ни поспать, ни поесть нормально невозможно когда болит зуб, а сразу посетить стоматологический кабинет часто просто нет возможности. Как помочь самому себе при зубной боли?
Исправить неправильный прикус поможет врач-ортодонт, который при помощи специальных аппаратов проведет лечение. Сегодня чаще всего для коррекции прикуса используют брекет – системы.
Иногда мы могли замечать, что после чистки зубов на щетке остается кровь. Иногда может хватить замены своей щетки на щетку с более мягкой щетиной, но чаще это говорит о проблемах с деснами. Что делать в подобных ситуациях?
Заметив, что после чистки зубов на щетке остается кровь первым делом стоит поменять щетку на более мягкую, если это не помогло и кровоточивость продолжается, нужно обратиться к стоматологу, чтобы выяснить причину данного явления.
Рекомендуемой процедурой, которую следует проводить раз в полгода, является Air Flow. Air Flow представляет собой профессиональную чистку зубов.
От скола зуба не застрахован никто. Зуб может сколоться во время употребления твердых продуктов, во время занятий спортом или по причине кариеса или заболеваний внутренних органов. В любом случае ситуация эта не из приятных и ее последствия нужно устранять.
Чистить зубы люди начали еще в древности. Подтверждением тому служат археологические раскопки в Египте и Китае. В средние века зубная щетка изготавливалась с применением свиной щетины. Сегодня же существуют сотни разновидностей зубных щеток различных производителей. Ну как здесь не растеряться в выборе?
Не каждый человек одарен с рождения ровными красивыми зубами. У многих людей наблюдается искривление зубов. Раньше люди с искривленными передними зубами