Как экономить на лечении зубов?
Падение курса национальной валюты привело к росту цен на все товары и услуги, включая стоматологию. И если отказаться от того или иного деликатеса можно, то отказ от
Падение курса национальной валюты привело к росту цен на все товары и услуги, включая стоматологию. И если отказаться от того или иного деликатеса можно, то отказ от
Одним из самых сложных стоматологических лечений является эндодонтическое лечение, т.е. лечение каналов. Каналы зуба имеют разные варианты строения, а при том, что визуальный контроль во время их лечения полностью отсутствует, эта процедура становится довольно сложной и требует от стоматолога опыт и умение.
Нужно ли лечить кариес молочных зубов? Этот вопрос часто задают родители детскому стоматологу. Ответ – однозначно да.
Как известно, начать исправлять прикус лучше в детском возрасте. Помимо того, что дети более спокойно воспринимают наличие ортодонтических конструкций на зубах и не стесняются их, исправить прикус в детстве легче, так как зубы более податливы.
Наиболее современным и эффективным способом исправить прикус уже долгое время остается установка брекет-системы. Брекеты позволяют двигать зубы во всех плоскостях.
Несомненно, самым популярным видом зубного протезирования является установка коронок. У многих людей старше тридцати лет есть хотя бы одна коронка.
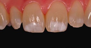
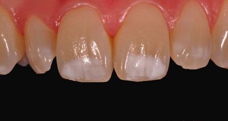
Причиной номер 1 по которой происходит поражение дальнейшая потеря зуба – это кариес. Но существуют и заболевания, некариозные, при которых происходит поражение эмали и дентина.
Разработчики японских компаний Panasonic и Matsushita представили свою инновационную зубную щетку в которую они встроили веб камеру.
Австралийскими стоматологами был разработан инновационный подход в восстановлении зубной эмали. Они предлагают одевать на время сна специальную пластину на зубы.
Вредные привычки такие как частое употребление кофе и курение, а также кривые зубы, измененный состав слюны в результате воспалительных процессов в организме, и многое другое ведет к образованию зубного камня.