Архивы за месяц "Июнь 2015"

Появление первых зубов

Появление первых зубов

Появление первых зубиков у ребенка большое событие. Появляться зубики могут на третьем месяце или ближе к годику. Это зависит от индивидуальных особенностей. Появление первых зубов у ребенка можно определить по следующим симптомам:

Read More →

Прорезывание зубов у ребенка

Прорезывание зубов у ребенка

Появление первых зубиков у ребенка приходится на 6-8 месяц, однако из-за индивидуальных особенностей это может произойти раньше или позже. Прорезывание первого зубика болезненно для ребенка и не редко родители волнуются по поводу повышения температуры.

Read More →

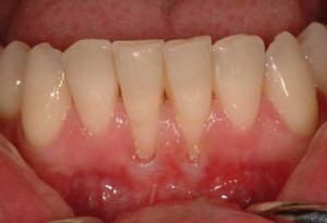
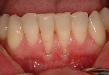
Рецессия десны

Рецессия десны

Рецессией десны называют заболевание, при котором происходит обнажение зубного корня в результате изменения в тканях. Это заболевание не опасно, но очень неприятно.

Read More →

Народные средства для лечения десен

лечение десен

Самый первый признак, указывающий на начало развития болезни десен – это кровоточивость. Если на зубной щетке стала появляться кровь после чистки зубов, то игнорировать это явление не следует, ведь воспалительный процесс развивается и несет в себе негативные последствия вплоть до потери зубов.

Read More →

Лечение молочницы народными средствами

Лечение молочницы народными средствами

Молочница или кандидоз является очень неприятным заболеванием, которым страдают как дети, так и взрослые. Большинство людей не спешит обращаться за помощью к врачам и применяет для лечения народные средства. Мы попытаемся описать самые популярные и эффективные из них.

Read More →

Гиперестезия дентина

Гиперестезия дентина

Гиперестезия дентина знакома не понаслышке многим. Другими словами – это повышенная чувствительность зубов. Такие симптомы как резкая кратковременная боль и сведение челюсти заставляют человека обратиться к стоматологу.

Read More →

Ирригатор

Ирригатор

Ежедневный уход за ротовой полостью обеспечит здоровье десен и зубов, однако, обычная зубная щетка и паста не способны полностью очистить зубы от налета. Для более тщательной очистки зубов был разработан специальный прибор – ирригатор.

Read More →